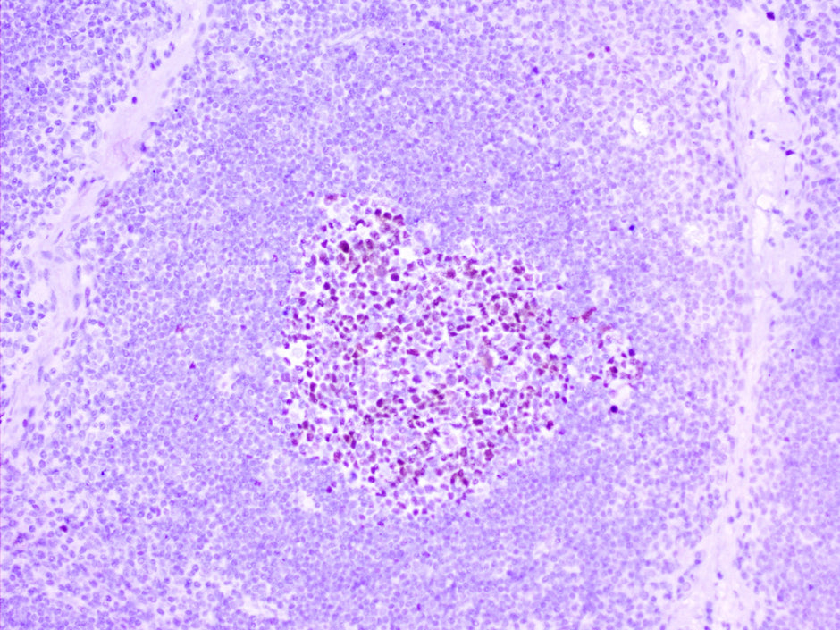
• How EBER Probe Testing Works

    EBER探针测试的工作原理

    在医学诊断领域,了解EBER 探针测试 至关重要。潜伏性爱泼斯坦-巴尔病毒 (EBV) 感染的识别很大程度上依赖于这种方法,即检测组织样本中的 EBV。在诊断不同疾病时,EBER 探针检测至关重要,因为它可以检测出 EBV 编码 RNA 的存在。本博客旨在详细探讨 EBER 探针检测,解...

  • Cervical Cancer Screening with Cytology Dual Staining of P16/Ki-67 by Celnovte

    Celnovte 的 P16/Ki-67 细胞学双重染色宫颈癌筛查

    中国约有3亿35岁至64岁符合条件的女性需要接受宫颈癌筛查,2009年至2017年累计筛查人数约7000万人,占实际需要筛查人群的23.33%。 面对大量需要筛查的个体,准确、简便、高效的筛查方法尤为重要。目前,细胞学检查结合 HR-HPV检测 是宫颈癌筛查的共识。 然而,细胞学筛查...

  • How to Identify and Target Claudin18.2: A Definitive Guide

    如何识别和靶向 Claudin18.2:权威指南

    理解 Claudin18.2及其在癌症中的作用 简介 Claudin18.2 Claudin18.2 (CLDN18.2) 是一种跨膜蛋白,在多种原发性恶性肿瘤(包括胃癌 (GC) 和食管胃连接部腺癌 (EGJA))的发生发展中起着至关重要的作用。Claudin18.2 的结...

  • How Do We Know If HER2 Breast Cancer is Positive?

    我们如何知道 HER2 乳腺癌是否呈阳性?

    HER 2 HER2,又称人类表皮生长因子受体,是一种在多种乳腺癌细胞的发育和存活中发挥作用的蛋白质。在乳腺组织中,HER2 的水平适中。在约 20% 至 25% 的乳腺癌病例中,HER2 的水平过高。这种水平的升高通常会导致肿瘤生长,并通常与不良预后相关。对于确诊患有乳腺癌的患者,了解 H...

  • Understanding IHC: Essential Applications in Modern Hospitals

    了解 IHC:现代医院的基本应用

    免疫组织化学 (IHC) 技术简介 首先,免疫组织化学技术(IHC)无疑是当今先进的一系列中介诊断工具中最重要的工具之一,尤其是在病理学和肿瘤学领域。该技术基于利用抗体来检测和靶向组织切片中的特定抗原。因此,组织切片的可视化在多个方面大有裨益,因为它有助于理解组织结构并辅助精准的疾病诊断...

  • Boost Research Efficiency with the mIHC Kit

    使用 mIHC 试剂盒提高研究效率

    多重免疫组织化学 (mIHC)是一种先进的技术,能够同时检测组织样本中的多种生物标志物。mIHC 利用标记有不同荧光染料或显色剂的特异性抗体,能够在单个组织切片中可视化多种抗原。该技术提高了组织学研究中可获取数据的复杂性,从而加深了对各种疾病(尤其是癌症研究)的理解。与传统的单染免疫组织化学...

  • Innovations in Histology: Alcian Blue and PAS Stain Kit Techniques

    组织学创新:阿尔新蓝和 PAS 染色试剂盒技术

    阿尔新蓝和 PAS 染色技术长期以来一直是 组织学分析,为研究人员深入了解组织复杂结构提供了宝贵的见解。这些染色剂的组合增强了评估各种病理状况的能力,尤其是涉及粘液物质的病理状况。围绕这些染色剂的方法学创新不断完善病理诊断,确保更高的准确性和特异性。本文...

  • CNT360 staining machines

    CNT360 IHC&ISH 染色机:相较于其他染色机的独特优势

    CNT360 全自动 IHC&ISH 染色机 已成为免疫组织化学和原位杂交领域的领先解决方案。凭借其先进的设计,CNT360 相较于其他染色仪拥有独特的优势,尤其适合追求工作流程精准高效的专家。本文深入探讨了 CNT360 的显著特点,重点介绍了其增强的准确性和可靠性、智能配方、在各...

  • Enhancing Diagnostic Accuracy with CNT330 Full Automatic IHC Stainer

    使用 CNT330 全自动 IHC 染色机提高诊断准确性

    病理学领域使用的关键技术之一是 免疫组织化学 (IHC)涉及检测组织切片中的特定抗原。自动化系统的引入彻底改变了这一过程,提高了效率和可重复性。在这些系统中, CNT330 全自动 IHC 染色机以其通过先进的自动化和用户友好型设计提高诊断准确性的创新方法而脱颖而出。 概...

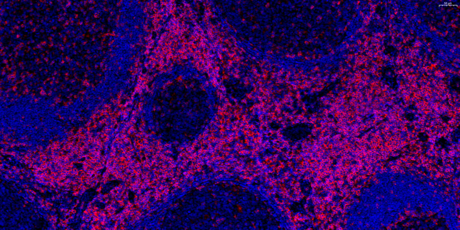
  • Key Benefits of Multiplex Immunohistochemical Analysis in Research

    多重免疫组织化学分析在研究中的主要优势

    了解多重免疫组织化学 (MIHC) 技术 MIHC 的基础和原则 主要优点 多重免疫组织化学 是一项先进的技术,可以同时使用多种生物标志物评估同一组织切片。该技术使用多种抗体结合不同的发色团,使研究人员能够同时评估多种蛋白质的表达。更重要的是,MIHC技术能够保留生物标志物在组织结构...

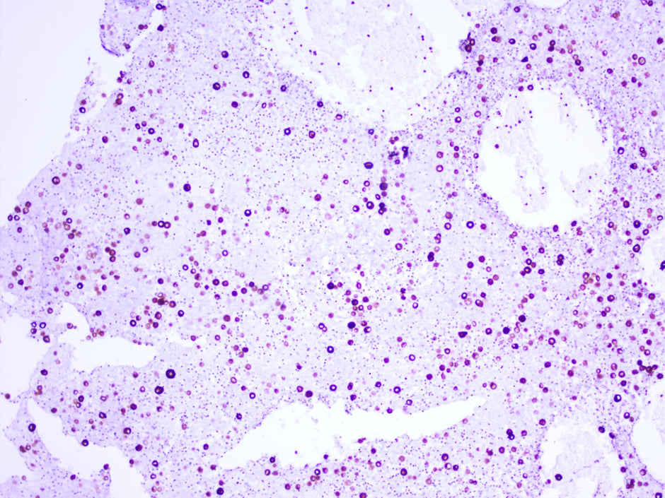
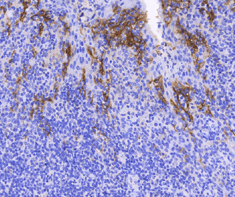
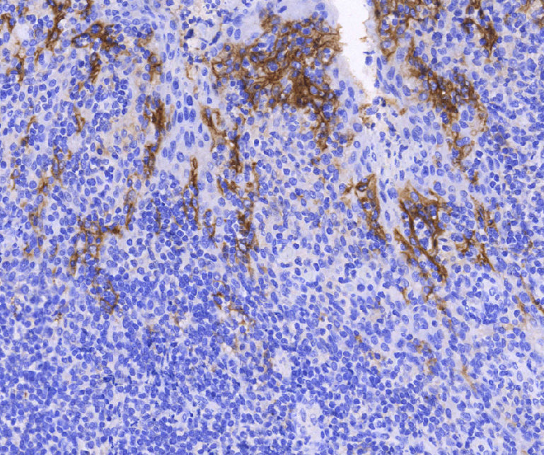
  • Why is Kappa/lambda In-situ Hybridization Critically Acclaimed?

    κ/λ原位杂交技术为何广受好评?

    Kappa/Lambda 的检测方法 Kappa/Lambda的检测通常使用实验室中的四种方法进行:原位杂交、免疫组织化学、流式细胞术和 PCR。 原位杂交 κ/λ链探针试剂是用于原位杂交法的专用试剂。为了更准确、更灵敏地找到κ:λ mRNA序列,该试剂旨在特异性地靶向该基因。...

  • How to Interpret PD-L1 Positive Results in Cancer Diagnosis

    如何解读癌症诊断中的 PD-L1 阳性结果

    PD-L1,又称程序性死亡配体1,在癌细胞与免疫系统的相互作用中起着至关重要的作用。了解其生物学特性和功能对于解读癌症诊断中PD-L1阳性结果至关重要。

  • PolyStacker™ Technology Offers Unique Solutions in IHC

    PolyStacker™ 技术为冷冻切片 IHC 提供独特的解决方案

    对于癌症患者来说,治疗领域正在迅速变化和发展,涌现出尖端技术和充满希望的抗击疾病的新方法。然而,正如所有旅程都必须迈出第一步,癌症治疗的康复之路也同样如此,而这第一步传统上需要苏木精和伊红 (H&E) 染色。术中冷冻切片会诊是 H&E 染色常用的一种方式,即从冷冻组织块制备切...

  • Gastrointestinal Tumor Diagnosis & IHC Markers Guide

    胃肠道肿瘤诊断与IHC标志物

    9%至27%的胃腺癌和胃食管交界处腺癌存在HER2扩增和/或过表达。它在肠型肿瘤中的发生率高于弥漫型肿瘤,在高分化至中分化肿瘤中的发生率高于低分化肿瘤。通过对活检或切除标本进行免疫组化检测,检测胃腺癌和胃食管交界处腺癌中的HER2已成为病理学家的常规操作。

  • Polymer Detection Kit - MicroStacker™ Mouse-on-Mouse

    MicroStacker™ 鼠对鼠聚合物检测试剂盒

    MicroStacker™ 技术能够将 IgG 二抗的 F(ab') 片段和过氧化物酶在微聚合物支架上进行精准的层状堆叠,从而形成紧凑的聚合物结构,相比其他以葡聚糖为骨架的传统 HRP 聚合物,其灵敏度更高。该系统无需使用链霉亲和素和生物素,从而消除了内源性生物素导致的非特异性染色。其中,M...

  • MicroStacker™ Ultra Polymer Detection Kit

    MicroStacker™ Ultra聚合物检测试剂盒

    免疫组化抗体在科研和临床诊断中发挥着至关重要的作用,兔抗体和鼠抗体是两种常见的抗体类型。鼠抗体因其成熟的开发技术以及对多种抗原和病原体的强适应性而被广泛应用。兔抗体因其更高的特异性、敏感性以及产生抗体类型的多样性,在临床诊断和科研领域也发挥着不可或缺的作用。

  • Multiplex ihc

    多重免疫组织化学试剂盒 (mIHC) 有何用途?

    多重免疫组织化学试剂盒 (mIHC) 在免疫学研究中具有重要价值,因为它们能够同时检测单个组织样本中的多种生物标志物。这项先进技术能够深入了解组织微环境,并极大地促进诊断方法和治疗策略的开发。通过利用 m 免疫组化 (IHC)能够揭示不同细胞元素之间错综复杂的相互作用,帮助研究人员更深入地了...

  • Distributor and OEM Partnership

    分销商和 OEM 合作伙伴关系

    对于有意销售我们品牌、您的品牌和/或将部分生产和产品开发外包的诊断公司和企业,我们提供定制包装服务将提升您的公司效率。我们经ISO和GMP认证的生产设施拥有卓越的质量控制流程,您可以放心。

  • Why Do You Need an IHC Stainer for Following Up Biopsy Results

    为什么需要 IHC 染色剂来跟踪活检结果

    它是一种医学诊断工具,已经发展变得强大,既可以提供关键的病理信息,又可以提高诊断的准确性。 免疫组化 它可以识别不同的疾病,尤其是癌症。由于它能够检测组织样本中的靶抗原,它是研究细胞成分及其相互作用的理想工具。这种高精度对于疾病的诊断、治疗决策和患者预后至关重要。

  • Comprehensive Mismatch Repair (MMR) Solution

    全面的错配修复 (MMR) 解决方案 | Celnovte 生物技术

    Celnovte Biotechnology 开发了新的综合错配修复(MMR)检测解决方案,通过多方面优化,增强染色效果,促进MMR蛋白检测的标准化。该系统由 MLH1、MSH2、MSH6 和 PMS2 等几种蛋白质组成,对于维护基因组的完整性至关重要。

  • PD-L1: An important biomarker for companion diagnostics

    PD-L1:伴随诊断的重要生物标志物

    PD-L1(程序性死亡配体1)在免疫反应的负向调节中起着至关重要的作用,也是肿瘤免疫逃逸的关键分子。检测PD-L1表达对于指导黑色素瘤、肺癌和乳腺癌等癌症的抗PD-1/PD-L1免疫治疗至关重要。本博客探讨了PD-L1检测的意义、挑战和方法,包括免疫组织化学(IHC)检测和各种抗体的使用。Ce...

  • Super-ISH

    Super-ISH™:白蛋白mRNA原位杂交技术辅助诊断肝细胞癌

    肝癌诊断复杂,尤其由于其从其他器官转移的几率较高。肝细胞癌 (HCC) 常表现为肝外转移,使其与原发性肝肿瘤和其他恶性肿瘤的鉴别变得复杂。HepPar-1 和 Arg-1 等传统标记物在诊断低分化肝细胞癌方面存在局限性,这凸显了改进诊断技术的需求。 白蛋白mRNA已成为肝细胞特异性标记...

  • Understanding the Role of Primary Antibody in Immune Response

    了解一抗在免疫反应中的作用

    一抗是免疫系统和各种研究应用中的关键工具。它们特异性地结合抗原上的独特表位,标记有害入侵者,以便免疫系统将其消灭。本博客探讨了一抗的基本作用和类型,强调了它们在研究和诊断(例如蛋白质印迹法、免疫荧光法和 ELISA)中的重要性。它还涵盖了单克隆抗体和多克隆抗体的区别、宿主物种和亚型的影响,并提...