多重免疫组织化学 (mIHC) 试剂盒
什么是多重免疫组织化学?
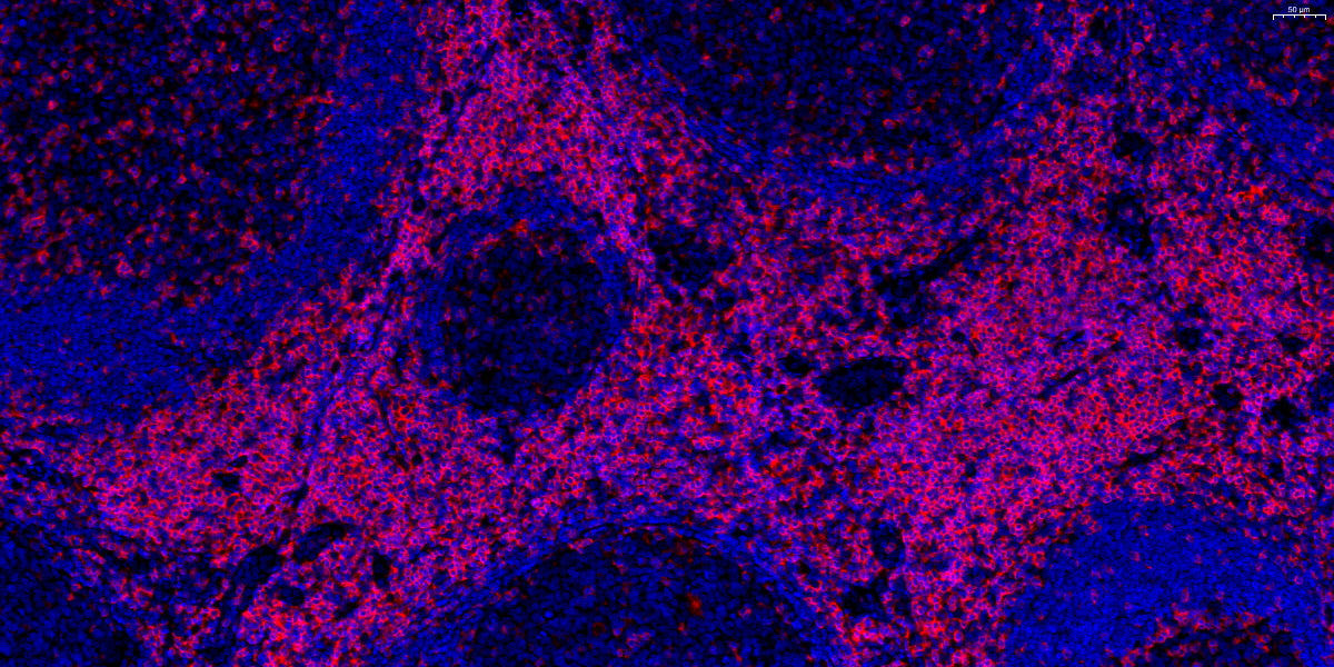
多重免疫组织化学 (mIHC)是一种先进的技术,能够同时检测组织样本中的多种生物标志物。mIHC 利用标记有不同荧光染料或显色剂的特异性抗体,能够在单个组织切片中可视化多种抗原。该技术提高了组织学研究中可获取数据的复杂性,从而加深了对各种疾病(尤其是癌症研究)的理解。与传统的单染免疫组织化学相比,mIHC 能够观察不同细胞成分之间的相互作用和空间关系,从而提供更全面的见解。
应用
应用 多重免疫组织化学 (mIHC) 试剂盒 mIHC 种类繁多,涵盖多个领域,包括肿瘤学、免疫学和神经病学。在癌症研究中,mIHC 可以同时检测可能指示不同细胞类型(例如浸润肿瘤的免疫细胞)的标记物,从而有助于识别肿瘤微环境。此外,mIHC 在自身免疫性疾病研究中也具有重要应用,可用于解析复杂的免疫反应。其他值得关注的领域包括神经科学,mIHC 可以通过分析与神经功能相关的多种蛋白质来帮助绘制神经退行性疾病的图谱。
mIHC背后的技术
高通量多重染色
高通量多重染色技术通过提供高效的方法同时汇集多个标记物的数据,彻底改变了组织分析。这种方法不仅通过减少需要处理的载玻片数量节省了时间,而且还节省了宝贵的组织样本。多重免疫组织化学 (mIHC) 试剂盒结合了自动化和先进的成像技术,简化了染色工作流程,使研究人员能够快速获得结果。因此,这种高通量能力支持需要可靠数据集的大规模研究。
自动化和更快的扫描
mIHC 的自动化对于提高效率和减少人为错误的可能性至关重要。专为 mIHC 设计的现代染色机和成像系统能够快速一致地处理多个样本。由于能够在更短的时间内完成染色操作,研究人员可以在不影响质量的情况下加快分析速度。这些自动化方面的进步还促进了图像分析技术的集成,从而加快了扫描和数据提取过程,进一步简化了研究工作流程。
在研究中使用 mIHC 试剂盒的优势
经济高效的组织分析
使用多重免疫组织化学 (mIHC) 试剂盒可显著降低肿瘤标志物分析的相关成本。通过在单张载玻片上同时评估多种生物标志物,研究人员可以节省组织样本和相关试剂。这种方法最大限度地减少了常规顺序染色程序产生的费用。因此,mIHC 是研究实验室评估复杂组织样本时一种经济高效的替代方案。
高度可重复的结果
在科学研究中,获得高度可重复的结果至关重要。多重免疫组织化学 (mIHC) 试剂盒采用标准化实验方案和相关对照,可确保实验保持一致性。这些特性可降低实验之间的差异性,从而提高不同样本和研究之间结果的可靠性。因此,研究人员可以自信地验证其结果,维护科学诚信,并支持更具影响力的结论。
提高数据准确性
利用 mIHC 可同时检测单个组织切片中的多种生物标志物,从而提高数据准确性。此功能可最大限度地减少单独分析每种生物标志物时可能出现的误解。mIHC 提供的增强特异性有助于深入了解病理过程和生物标志物之间的相关性。因此,研究人员可以在数据分析中做出更明智的决策,从而在研究中取得突破并完善假设。
Celnovte 多重免疫组织化学 (mIHC) 试剂盒
Celnovte的 多重免疫组织化学 (mIHC) 试剂盒代表了生物学研究领域的一项重大进展,使研究人员能够同时检测单个组织样本中多达 6-8 种标记物。这项突破性技术消除了抗体选择时物种限制,从而提高了实验设计的灵活性和多功能性。通过同时靶向多种标记物,该试剂盒使研究人员能够更全面、更细致地了解珍贵样本中的生物学过程,从而最大限度地利用这些通常有限的资源。
此外,Celnovte mIHC 试剂盒提高了靶标检测的灵敏度,并确保生成特异性图像信号,从而为研究人员提供更清晰、更准确的结果。这种更高的精度对于推进科学理解和开发更有效的治疗方法至关重要。此外,该试剂盒的自动化检测系统确保了高效率、稳定性和可重复性,从而简化了研究流程并降低了人为错误的可能性。总而言之,Celnovte 的多重免疫组化试剂盒是推动生物学研究前沿发展的有力工具,使研究人员能够以前所未有的精度和效率更深入地洞察复杂的生物过程。

塞尔诺夫特
关于 Celnovte
Celnovte是一家领先的生物技术公司,致力于为以下领域的研究人员提供创新解决方案 免疫组织化学 和组织分析。Celnovte 致力于推进科学理解,专注于开发和生产适用于各种应用的高质量多重免疫组织化学 (mIHC) 试剂盒。公司专注于研发,确保其产品能够满足当今科学家的需求,从而提高研究效率和数据质量。
开发先进的 mIHC 方案
利用多种生物标志物增强 7 色检测面板
多重免疫组织化学 (mIHC) 试剂盒的显著特点之一是其能够增强 7 色检测方案,从而允许在单个组织切片中同时检测多种生物标志物。这通过使用精心挑选的、带有不同显色或荧光标记的抗体来实现。同时可视化多种抗原的能力丰富了从每个样本中提取的信息量,从而有助于深入了解组织微环境中复杂的相互作用。此类进步至关重要,尤其是在肿瘤学领域,因为了解肿瘤异质性和微环境的影响可以显著影响诊断和治疗策略。
酪胺信号放大方案
Celnovte mIHC 试剂盒中集成的酪胺信号放大 (TSA) 方法进一步提高了灵敏度和信号检测能力。TSA 利用酶促放大技术,可以检测到微量的抗原,而这在传统染色技术中可能无法察觉。这种放大信号在处理组织样本中表达较弱的生物标志物或稀有细胞群时至关重要。最终,将 TSA 方案纳入 mIHC 工作流程,有助于研究人员获得更精确的结果,从而更深入地了解疾病机制,尤其是在传统方法可能失效的棘手病例中。
关键生物标志物:CD3、CD8、CD163、PD-L1、FoxP3、细胞角蛋白 (CK)
Celnovte 的 mIHC 试剂盒旨在针对一系列在各种研究应用中至关重要的关键生物标志物。例如,CD3 和 CD8 对于识别在免疫反应中发挥重要作用的 T 细胞群至关重要,而 CD163 则是替代激活巨噬细胞的标志物,有助于深入了解肿瘤微环境。PD-L1 是一个成熟的免疫检查点,对于评估癌症患者的免疫反应和治疗效果至关重要。此外,FoxP3 和细胞角蛋白 (CK) 等生物标志物分别在免疫调节和上皮状态的研究中发挥着重要作用。这些生物标志物共同作用,使研究人员能够进行全面的分析,并得出有关疾病过程的有意义的结论。
概括
多重免疫组化 (mIHC) 试剂盒的应用不仅提高了研究效率,还能提供高质量、可重复的结果,这对于推进科学理解至关重要。随着对高通量、可靠且信息丰富的研究的需求不断增长,Celnovte 始终站在免疫组化领域的创新前沿,推动有助于改进诊断和治疗策略的发现。

