
PD-L1表达检测的意义
程序性死亡配体1 (PD-L1,又称B7-H1)是PD-1的配体,属于B7超家族,在免疫反应的负调控中发挥作用。PD-L1可由T细胞、B细胞、巨噬细胞和树突状细胞表达,在多种类型的肿瘤中表达,包括黑色素瘤、卵巢癌、结肠癌、肺癌、乳腺癌和肾细胞癌。研究表明,PD-1/PD-L1通路被认为是介导肿瘤微环境中免疫逃逸的关键分子。阻断该通路可以解除肿瘤细胞对T淋巴细胞的抑制,增强免疫系统识别和清除肿瘤的能力。因此,肿瘤细胞表面PD-L1的表达是抗PD-1/PD-L1免疫治疗疗效的重要预测标志物。
目前,多种抗PD-1/PD-L1免疫治疗药物已获批临床使用,PD-L1蛋白表达检测已被国家药品监督管理局(NMPA)、美国食品药品监督管理局(FDA)、欧洲药品管理局(EMA)以及全球多个指南批准作为多种肿瘤免疫疗法的生物标志物,用于指导免疫治疗患者的选择以及预测免疫治疗的疗效。
他们的 CNT 300、CNT 330 和 CNT 360 IHC 染色剂可以促进 PD-L1 的检测。
样本类型 PD-L1检测
目前推荐进行PD-L1免疫组化检测的样本类型包括组织学样本和部分细胞学样本(如胸水、腹水等)。质控通常要求样本中至少含有100个肿瘤细胞。《实体肿瘤PD-L1免疫组化检测专家共识(2021版)》和《中国非小细胞肺癌PD-L1表达检测专家共识(2020版)》总结了可以进行PD-L1检测的样本类型:
- 建议优先对石蜡包埋肿瘤组织切片进行PD-L1免疫组化检测,以确保有足够的肿瘤细胞用于评估。研究表明,肺癌患者同一肿瘤的多个组织块之间PD-L1表达率具有较高的一致性(94%)。
- PD-L1检测既可以针对手术切除标本,也可以针对活检标本进行检测。如无法获取组织标本,可将胸水或腹水等细胞学样本包埋于石蜡块中进行检测。
- 原发灶和转移灶均可进行PD-L1检测。由于转移灶与原发灶PD-L1表达可能存在差异,建议必要时分别对两种病变分别进行PD-L1检测,以明确PD-L1的表达状态。
- 由于PD-L1表达的时间异质性和治疗影响,建议在初次诊断时和改变治疗计划之前进行PD-L1检测。
- 不建议对脱钙标本进行 PD-L1 免疫组织化学检测。
PD-L1检测的挑战
检测平台:
不同的抗体需要使用不同的检测平台。
空间和时间异质性:
PD-L1 的表达在同一肿瘤的不同部位可能存在差异,在原发灶和转移灶之间的表达也可能存在差异。这种空间异质性意味着不同的活检部位可能产生不同的 PD-L1 表达检测结果。此外,PD-L1 的表达水平可能在疾病进展过程中发生动态变化,例如在使用免疫疗法、放疗、化疗、抗血管生成疗法等治疗过程中。
结果解释:
不同抗体对其检测结果的解读标准不同,同一种抗体在不同肿瘤类型中的解读方法也可能不同。不同公司使用不同的抗体进行PD-L1检测,每种抗体都有各自的参考指标或阈值标准。在肿瘤组织中,除了癌细胞外,周围还有基质细胞(如免疫细胞、内皮细胞、成纤维细胞等)。因此,在对一个肿瘤组织样本进行染色时,被染色的细胞可能既包括癌细胞,也包括其他细胞。PD-L1检测抗体的判定方法包括肿瘤比例评分(TPS)、合并阳性评分(CPS)以及分别计算肿瘤细胞(TC)和免疫细胞(IC)。
这些挑战凸显了 PD-L1 检测的复杂性和多变性,需要仔细考虑和标准化测试协议和解释标准,以确保准确可靠的结果。
PD-L1免疫组化检测试剂
目前,中国国家药品监督管理局(NMPA)已批准6个PD-L1伴随诊断抗体,包括达科的22C3和28-8、罗氏的SP142和SP263、万孚生物的WD160以及艾德生物的E1L3N。国产PD-L1抗体产品凭借性价比高、检测结果稳定等优势,在市场上日益受到青睐。
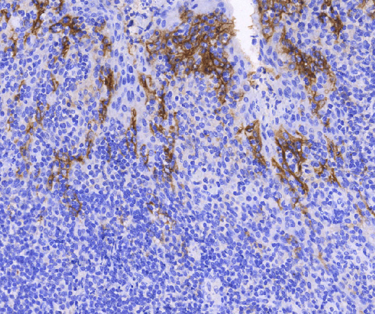
PD-L1 (克隆: E1L3N )
E1L3N是国内首个PD-L1伴随诊断产品,用于与国际知名免疫治疗药物帕博利珠单抗(商品名:Keytruda)和纳武单抗(商品名:Opdivo)一起用于治疗非小细胞肺癌。国际研究表明,E1L3N克隆与22C3、28-8和SP263抗体在检测肿瘤细胞PD-L1表达方面具有良好的一致性,其染色模式和强度与SP263相似,且灵敏度优于SP142克隆,尤其是在PD-L1低表达的情况下。
平台适应性是E1L3N的另一大优势。它可在多个检测平台上使用,因为它已在Celnovte平台上进行了广泛的验证,一致性良好。这有助于PD-L1检测在医院的广泛应用,惠及广大癌症患者。
E1L3N作为国产免疫治疗伴随诊断试剂的代表,在《中国非小细胞肺癌PD-L1表达检测专家共识(2023版)》中获得优先推荐。
PD-L1检测 Celnovte解决方案
塞尔诺夫特 赛诺生物成立于2010年,是一家专注于肿瘤精准诊断仪器及试剂研发、生产和销售的高新技术企业。公司注重质量和创新,建立了符合GMP要求的全面体系,涵盖生产、质量控制和研发。赛诺生物拥有洁净的生产车间和先进的设备,确保产品达到最高标准。公司已获得ISO9001、ISO13485和欧盟CE-ID认证,在行业中处于领先地位。赛诺生物秉承“质量、创新、服务”的经营理念,致力于为用户提供一流的产品和服务,致力于成为行业标杆科技创新企业,为生命科学和医学领域的科技进步贡献力量。赛诺生物专注于肿瘤早期筛查、精准诊断、药物伴随及疗效监测,致力于构建集研发、生产、销售、服务于一体的完整产业链,成为国内外领先的肿瘤病理诊断产品综合解决方案提供商。

Celnovte抗体研发中心提供完整的PD-L1检测解决方案,包括PD-L1抗体试剂(克隆号:E1L3N)、二抗检测系统和免疫组化染色平台,支持免疫治疗伴随诊断。其IHC染色仪 CNT300 , CNT330 ,和 CNT360是有效的检测和诊断解决方案。

