关于
描述
天冬氨酸蛋白酶的活化肽,被称为前体(pro-parts),作为这些酶活性位点的抑制剂,具有特殊作用。它们对于天冬氨酸蛋白酶酶原的正确折叠、靶向和活化过程的调节至关重要。前体蛋白A(pronapsin A)基因主要在肺和肾脏中表达。该基因产生的蛋白质预计是一个功能齐全的糖基化天冬氨酸蛋白酶前体。它包含一个RGD基序(一段特定的氨基酸序列)及其C末端的18个额外残基。
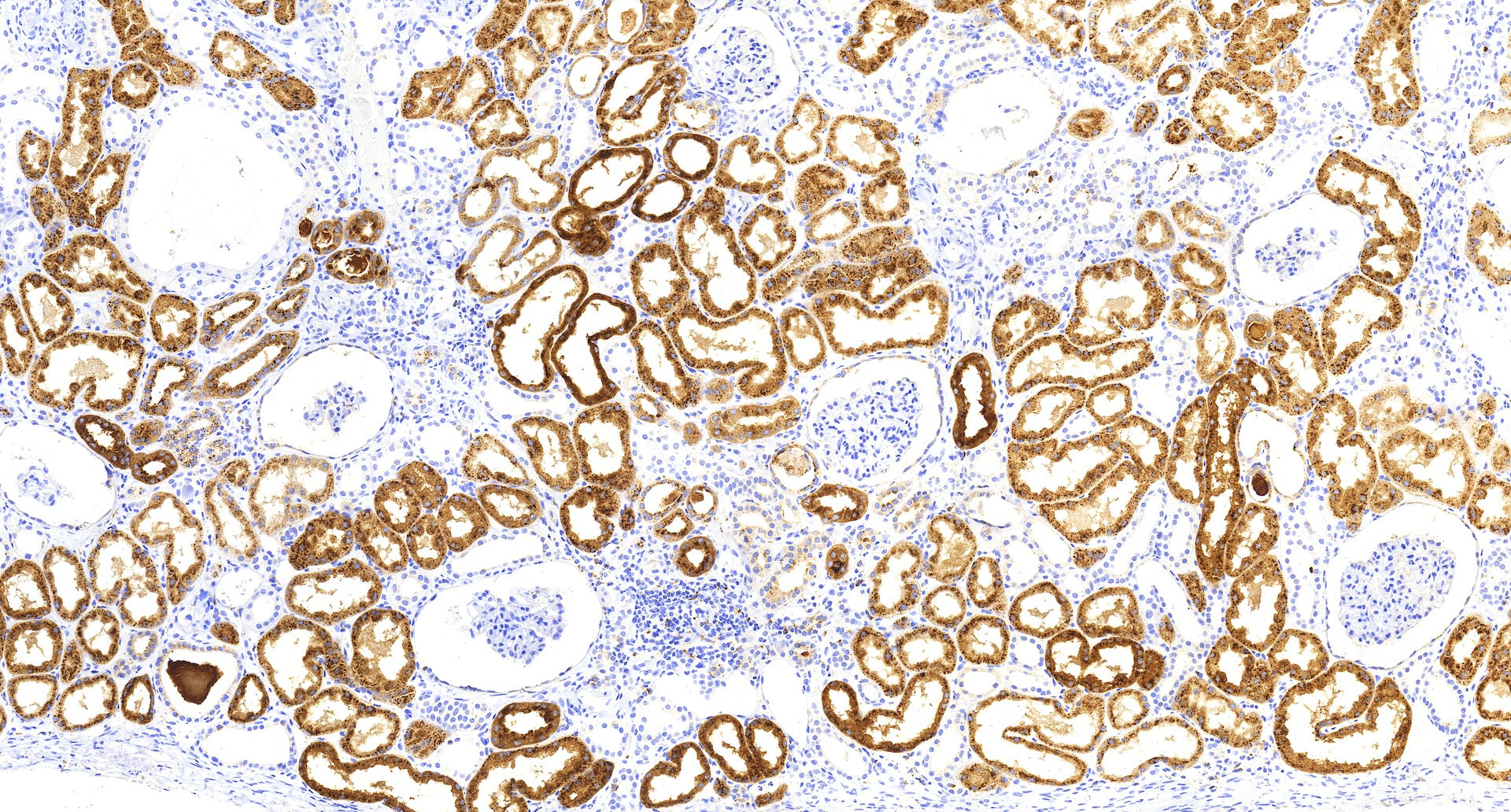
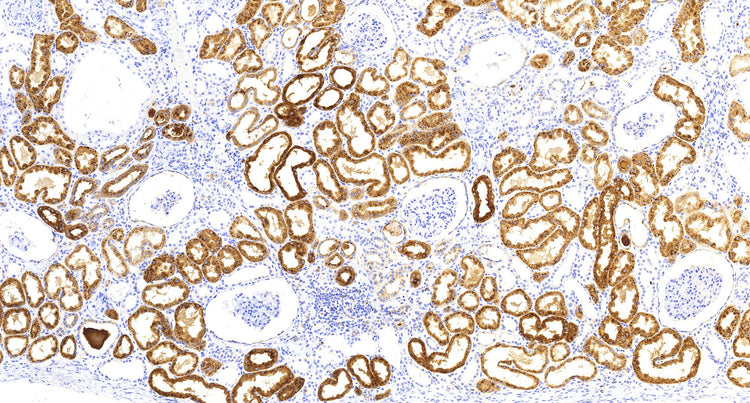
在正常组织中,抗Napsin A抗体能够标记成人肺中的II型肺泡上皮细胞和肾脏组织中的上皮细胞。然而,在异常组织中,Napsin A可作为肺腺癌的宝贵标记物。这意味着Napsin A的存在可以提示病理样本中存在肺腺癌。
描述
天冬氨酸蛋白酶的活化肽,被称为前体(pro-parts),作为这些酶活性位点的抑制剂,具有特殊作用。它们对于天冬氨酸蛋白酶酶原的正确折叠、靶向和活化过程的调节至关重要。前体蛋白A(pronapsin A)基因主要在肺和肾脏中表达。该基因产生的蛋白质预计是一个功能齐全的糖基化天冬氨酸蛋白酶前体。它包含一个RGD基序(一段特定的氨基酸序列)及其C末端的18个额外残基。
在正常组织中,抗Napsin A抗体能够标记成人肺中的II型肺泡上皮细胞和肾脏组织中的上皮细胞。然而,在异常组织中,Napsin A可作为肺腺癌的宝贵标记物。这意味着Napsin A的存在可以提示病理样本中存在肺腺癌。
by
Celnovte Biotechnology
Napsin A(C2C2), MMab
Translation missing: zh-CN.products.product.sku:napsin-a(c2c2),-mmab-0.1ml
无法加载取货服务可用情况
克隆
C2C2
同位素
免疫球蛋白G
本土化
细胞质
来源
小鼠单克隆
格式
浓缩液,即用型

