关于
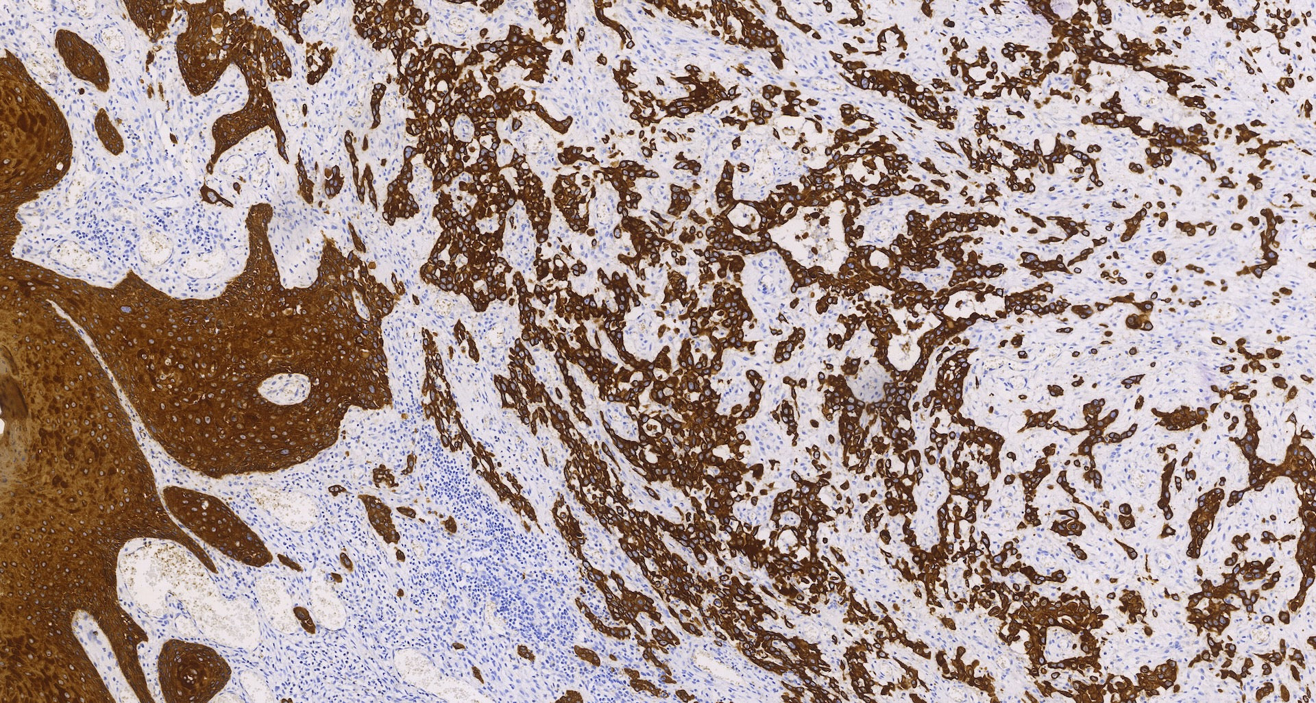
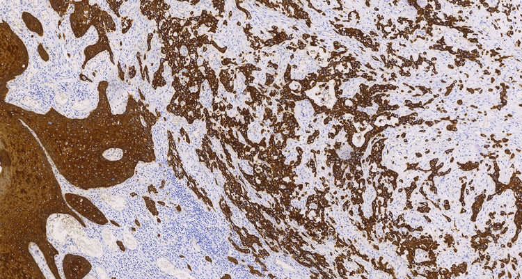
细胞角蛋白 5 (58 kDa) 是一种高分子量的碱性细胞角蛋白,在复层上皮的各层中表达,包括基底层、中间层和表层细胞。它也存在于移行上皮、复合上皮、间皮细胞和间皮瘤中。另一方面,细胞角蛋白 6 (56 kDa) 是另一种高分子量的碱性细胞角蛋白,通常在增生的鳞状上皮中表达,并且经常与细胞角蛋白 16 共表达。
细胞角蛋白 5 和 6 抗体可用于检测这些蛋白质的存在。该抗体在几乎 100% 的恶性间皮瘤(一种源自胸膜、腹膜或心包内壁间皮细胞的癌症)中呈高阳性。然而,在肺腺癌中很少见到。该抗体在未分化大细胞癌和鳞状细胞癌中也可能呈阳性。相比之下,不到 10% 的乳腺癌、结肠癌和前列腺癌对该标记物呈阳性。
此外,细胞角蛋白 5 和 6 抗体已成功用作前列腺肌上皮细胞标记物,用于判断恶性肿瘤。肌上皮细胞是一种特殊细胞,在各种组织(包括前列腺)中包裹上皮细胞。
细胞角蛋白 5 (58 kDa) 是一种高分子量的碱性细胞角蛋白,在复层上皮的各层中表达,包括基底层、中间层和表层细胞。它也存在于移行上皮、复合上皮、间皮细胞和间皮瘤中。另一方面,细胞角蛋白 6 (56 kDa) 是另一种高分子量的碱性细胞角蛋白,通常在增生的鳞状上皮中表达,并且经常与细胞角蛋白 16 共表达。
细胞角蛋白 5 和 6 抗体可用于检测这些蛋白质的存在。该抗体在几乎 100% 的恶性间皮瘤(一种源自胸膜、腹膜或心包内壁间皮细胞的癌症)中呈高阳性。然而,在肺腺癌中很少见到。该抗体在未分化大细胞癌和鳞状细胞癌中也可能呈阳性。相比之下,不到 10% 的乳腺癌、结肠癌和前列腺癌对该标记物呈阳性。
此外,细胞角蛋白 5 和 6 抗体已成功用作前列腺肌上皮细胞标记物,用于判断恶性肿瘤。肌上皮细胞是一种特殊细胞,在各种组织(包括前列腺)中包裹上皮细胞。
细胞角蛋白 5 和 6(C6H1/C1C8),MMab
Translation missing: zh-CN.products.product.sku:cytokeratin-5-&-6(c6h1/c1c8),-mmab-0.1ml
无法加载取货服务可用情况

