

About
Villin is an actin-binding protein that plays a role in regulating the actin cytoskeleton. It consists of gelsolin domains and a "headpiece" domain, which is a three-helix bundle stabilized by hydrophobic interactions. The headpiece domain is of particular interest in molecular dynamics studies due to its fast-folding kinetics and short primary sequence. In animals, villin is primarily expressed in the brush border of the gastrointestinal mucosal epithelium.
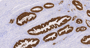
The villin antibody specifically labels the brush border area in the gastrointestinal mucosal epithelium. This labeling has proven useful in distinguishing gastrointestinal adenocarcinoma, neuroendocrine carcinomas, and ovarian adenocarcinomas from adenocarcinomas originating in other organs. Additionally, the antibody can label Merkel cells found in the skin.
Villin is an actin-binding protein that plays a role in regulating the actin cytoskeleton. It consists of gelsolin domains and a "headpiece" domain, which is a three-helix bundle stabilized by hydrophobic interactions. The headpiece domain is of particular interest in molecular dynamics studies due to its fast-folding kinetics and short primary sequence. In animals, villin is primarily expressed in the brush border of the gastrointestinal mucosal epithelium.
The villin antibody specifically labels the brush border area in the gastrointestinal mucosal epithelium. This labeling has proven useful in distinguishing gastrointestinal adenocarcinoma, neuroendocrine carcinomas, and ovarian adenocarcinomas from adenocarcinomas originating in other organs. Additionally, the antibody can label Merkel cells found in the skin.
Villin(C2E10), MMab
Translation missing: en.products.product.sku:villin(c2e10),-mmab-0.1ml
Couldn't load pickup availability
