

About
Thyroglobulin (Tg) is a dimeric protein with a molecular weight of 660 kDa. It is exclusively produced and utilized within the thyroid gland. Thyroglobulin serves as a precursor for the synthesis of thyroid hormones, including thyroxine (T4) and triiodothyronine (T3). These hormones play crucial roles in regulating metabolism and other physiological processes. Triiodothyronine, the active form of thyroxine, is generated both within the thyroid gland and in peripheral tissues through the action of an enzyme called 5'-deiodinase.
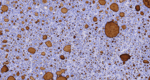
The thyroglobulin antibody specifically reacts with human thyroglobulin, as confirmed by the detection of a single band in immunoblotting using a lysate of human thyroid tissue. The majority of follicular carcinomas of the thyroid show positive immunoreactivity for thyroglobulin, although it may be limited to certain areas. Poorly differentiated carcinomas of the thyroid often lack thyroglobulin expression. Adenocarcinomas originating from non-thyroid tissues do not exhibit reactivity with this antibody.
Thyroglobulin (Tg) is a dimeric protein with a molecular weight of 660 kDa. It is exclusively produced and utilized within the thyroid gland. Thyroglobulin serves as a precursor for the synthesis of thyroid hormones, including thyroxine (T4) and triiodothyronine (T3). These hormones play crucial roles in regulating metabolism and other physiological processes. Triiodothyronine, the active form of thyroxine, is generated both within the thyroid gland and in peripheral tissues through the action of an enzyme called 5'-deiodinase.
The thyroglobulin antibody specifically reacts with human thyroglobulin, as confirmed by the detection of a single band in immunoblotting using a lysate of human thyroid tissue. The majority of follicular carcinomas of the thyroid show positive immunoreactivity for thyroglobulin, although it may be limited to certain areas. Poorly differentiated carcinomas of the thyroid often lack thyroglobulin expression. Adenocarcinomas originating from non-thyroid tissues do not exhibit reactivity with this antibody.
Thyroglobulin(C6D6), MMab
Translation missing: en.products.product.sku:thyroglobulin(c6d6),-mmab-0.1ml
Couldn't load pickup availability
