

About
Tissue Preparation: Fresh biopsy or surgical samples fixed in 10% neutral buffered formalin for 8 to 24 hours. Extracted, dehydrated, and paraffin embedded according to specifications. Store wax blocks in a ventilated, dry cabinet at room temperature for 5 years.
Tissue Sectioning: Spread tissue sections (3-5 μm thick) on an adhesive slide. Tap slide rack and absorb excess water droplets with hygroscopic paper. Dry at 60℃ for 30-60 minutes or at 37℃ overnight, then cool to room temperature.
Storage: If stored at room temperature, complete the test within 7 days to maintain antigen distribution. If stored at 2-8℃, complete the test within 3 months to maintain antigen distribution.
Tissue Preparation: Fresh biopsy or surgical samples fixed in 10% neutral buffered formalin for 8 to 24 hours. Extracted, dehydrated, and paraffin embedded according to specifications. Store wax blocks in a ventilated, dry cabinet at room temperature for 5 years.
Tissue Sectioning: Spread tissue sections (3-5 μm thick) on an adhesive slide. Tap slide rack and absorb excess water droplets with hygroscopic paper. Dry at 60℃ for 30-60 minutes or at 37℃ overnight, then cool to room temperature.
Storage: If stored at room temperature, complete the test within 7 days to maintain antigen distribution. If stored at 2-8℃, complete the test within 3 months to maintain antigen distribution.
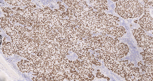
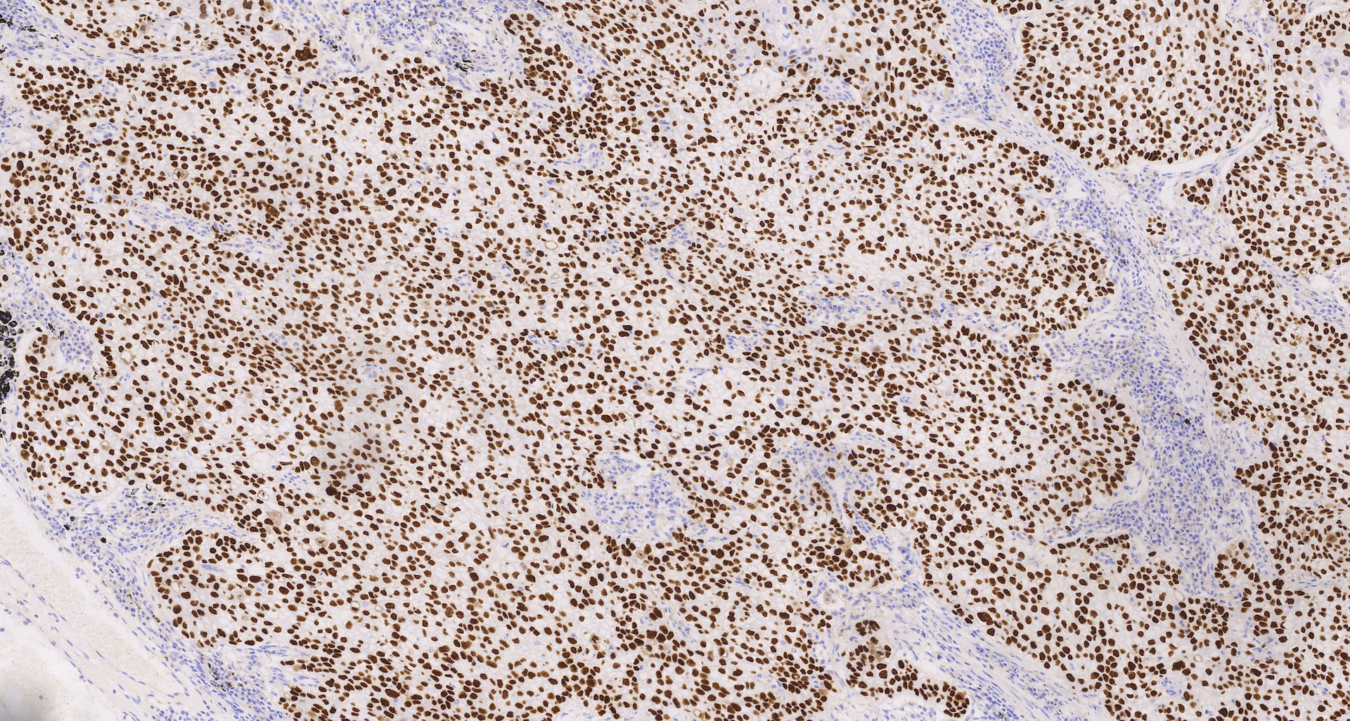
P40(C3B4), MMab
Translation missing: en.products.product.sku:p40(c3b4),-mmab-0.1ml
Couldn't load pickup availability
