

About
The activation peptides of aspartic proteinases, known as pro-parts, have a specific role as inhibitors of the active site of these enzymes. They are essential for proper folding, targeting, and regulation of aspartic proteinase zymogens' activation process. The pronapsin A gene is primarily expressed in the lung and kidney. The protein produced from this gene is predicted to be a fully functional glycosylated aspartic proteinase precursor. It contains an RGD motif (a specific amino acid sequence) and an additional 18 residues at its C-terminus.
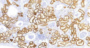
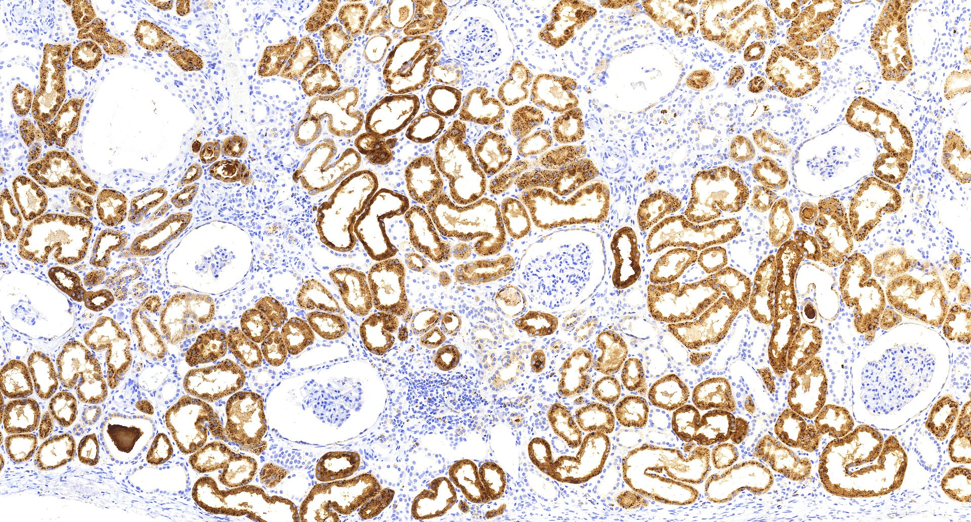
In normal tissue, the anti-Napsin A antibody is capable of labeling type II pneumocytes in the adult lung and epithelial cells in kidney tissues. However, in abnormal tissues, Napsin A serves as a valuable marker for lung adenocarcinoma. This means that the presence of Napsin A can be indicative of lung adenocarcinoma in pathological samples.
The activation peptides of aspartic proteinases, known as pro-parts, have a specific role as inhibitors of the active site of these enzymes. They are essential for proper folding, targeting, and regulation of aspartic proteinase zymogens' activation process. The pronapsin A gene is primarily expressed in the lung and kidney. The protein produced from this gene is predicted to be a fully functional glycosylated aspartic proteinase precursor. It contains an RGD motif (a specific amino acid sequence) and an additional 18 residues at its C-terminus.
In normal tissue, the anti-Napsin A antibody is capable of labeling type II pneumocytes in the adult lung and epithelial cells in kidney tissues. However, in abnormal tissues, Napsin A serves as a valuable marker for lung adenocarcinoma. This means that the presence of Napsin A can be indicative of lung adenocarcinoma in pathological samples.
Napsin A(C2C2), MMab
Translation missing: en.products.product.sku:napsin-a(c2c2),-mmab-0.1ml
Couldn't load pickup availability
