

About
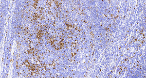
MUM1 (multiple myeloma oncogene-1), also known as interferon regulatory factor 4 (IRF4), is a 50 kDa protein and a member of the interferon regulatory factor family of transcription factors. It is induced by antigen receptor-mediated stimuli and plays a crucial role in cell proliferation, differentiation, and survival. MUM1 antibody specifically targets the nuclei and cytoplasm of plasma cells and a small percentage of germinal center (GC) B-cells committed to plasmacytic or memory cell differentiation in the "light zone" of the lymph nodes.
The MUM1 antibody is valuable for subclassifying lymphoid malignancies and serves as an excellent marker for Hodgkin's and Reed-Sternberg cells found in classic Hodgkin's disease.
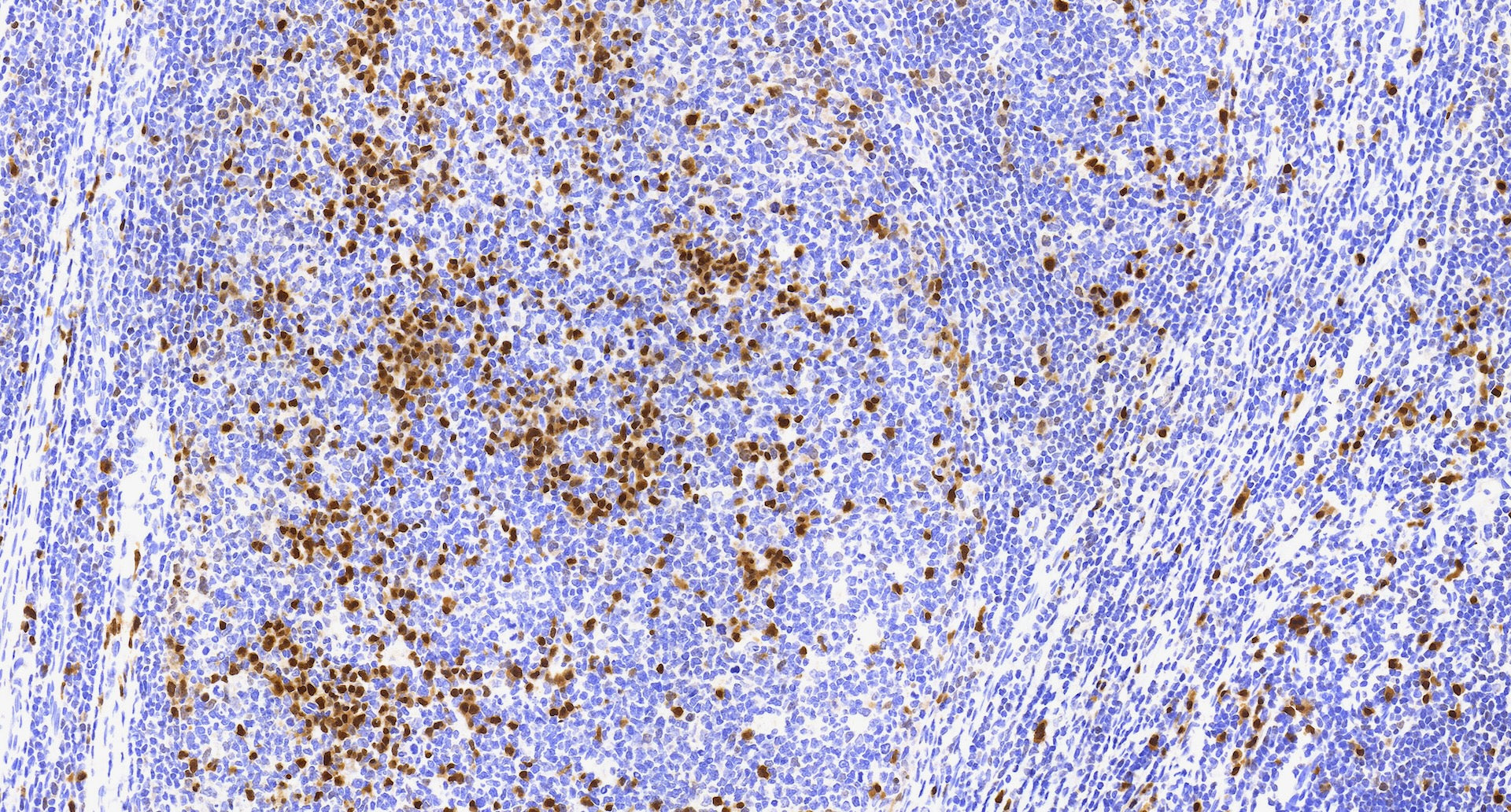
MUM1 (multiple myeloma oncogene-1), also known as interferon regulatory factor 4 (IRF4), is a 50 kDa protein and a member of the interferon regulatory factor family of transcription factors. It is induced by antigen receptor-mediated stimuli and plays a crucial role in cell proliferation, differentiation, and survival. MUM1 antibody specifically targets the nuclei and cytoplasm of plasma cells and a small percentage of germinal center (GC) B-cells committed to plasmacytic or memory cell differentiation in the "light zone" of the lymph nodes.
The MUM1 antibody is valuable for subclassifying lymphoid malignancies and serves as an excellent marker for Hodgkin's and Reed-Sternberg cells found in classic Hodgkin's disease.
MUM1(C6H9), MMab
Translation missing: en.products.product.sku:mum1(c6h9),-mmab-0.1ml
Couldn't load pickup availability
