

About
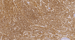
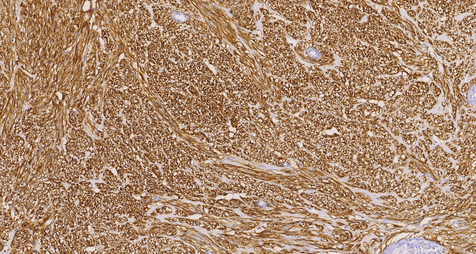
DOG1 (discovered on GIST 1) is a cell-surface protein with an unknown function. It is highly expressed on the cell surface of gastrointestinal stromal tumors (GISTs) and is rarely expressed in other types of soft tissue tumors. When compared to a c-Kit antibody, the DOG1 antibody has been shown to identify 11% more GIST cases with c-Kit mutations.
The DOG1 antibody is particularly useful in identifying GIST cases that are negative for c-Kit expression or have PDGFRA mutations. These cases may still benefit from treatment with imatinib mesylate (Gleevec), which is an inhibitor of the kit tyrosine kinase. In addition, DOG1 immunoreactivity is observed in fewer cases of mesenchymal and epithelial tumors, as well as melanomas, when compared to c-Kit. By using this highly sensitive and specific marker, the accuracy of GIST diagnosis can be increased.
DOG1 (discovered on GIST 1) is a cell-surface protein with an unknown function. It is highly expressed on the cell surface of gastrointestinal stromal tumors (GISTs) and is rarely expressed in other types of soft tissue tumors. When compared to a c-Kit antibody, the DOG1 antibody has been shown to identify 11% more GIST cases with c-Kit mutations.
The DOG1 antibody is particularly useful in identifying GIST cases that are negative for c-Kit expression or have PDGFRA mutations. These cases may still benefit from treatment with imatinib mesylate (Gleevec), which is an inhibitor of the kit tyrosine kinase. In addition, DOG1 immunoreactivity is observed in fewer cases of mesenchymal and epithelial tumors, as well as melanomas, when compared to c-Kit. By using this highly sensitive and specific marker, the accuracy of GIST diagnosis can be increased.
DOG1(C2E3), MMab
Translation missing: en.products.product.sku:dog1(c2e3),-mmab-0.1ml
Couldn't load pickup availability
