

About
Cytokeratin 19 (CK19)is classified as a Type I cytokeratin and is the CK19llest-known acidic cytokeratin. Unlike other members of its family, it does not pair with a basic cytokeratin in epithelial cells. Its specific localization is in the periderm, which is the superficial layer that temporarily covers the developing epidermis.
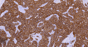
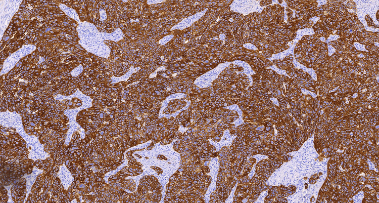
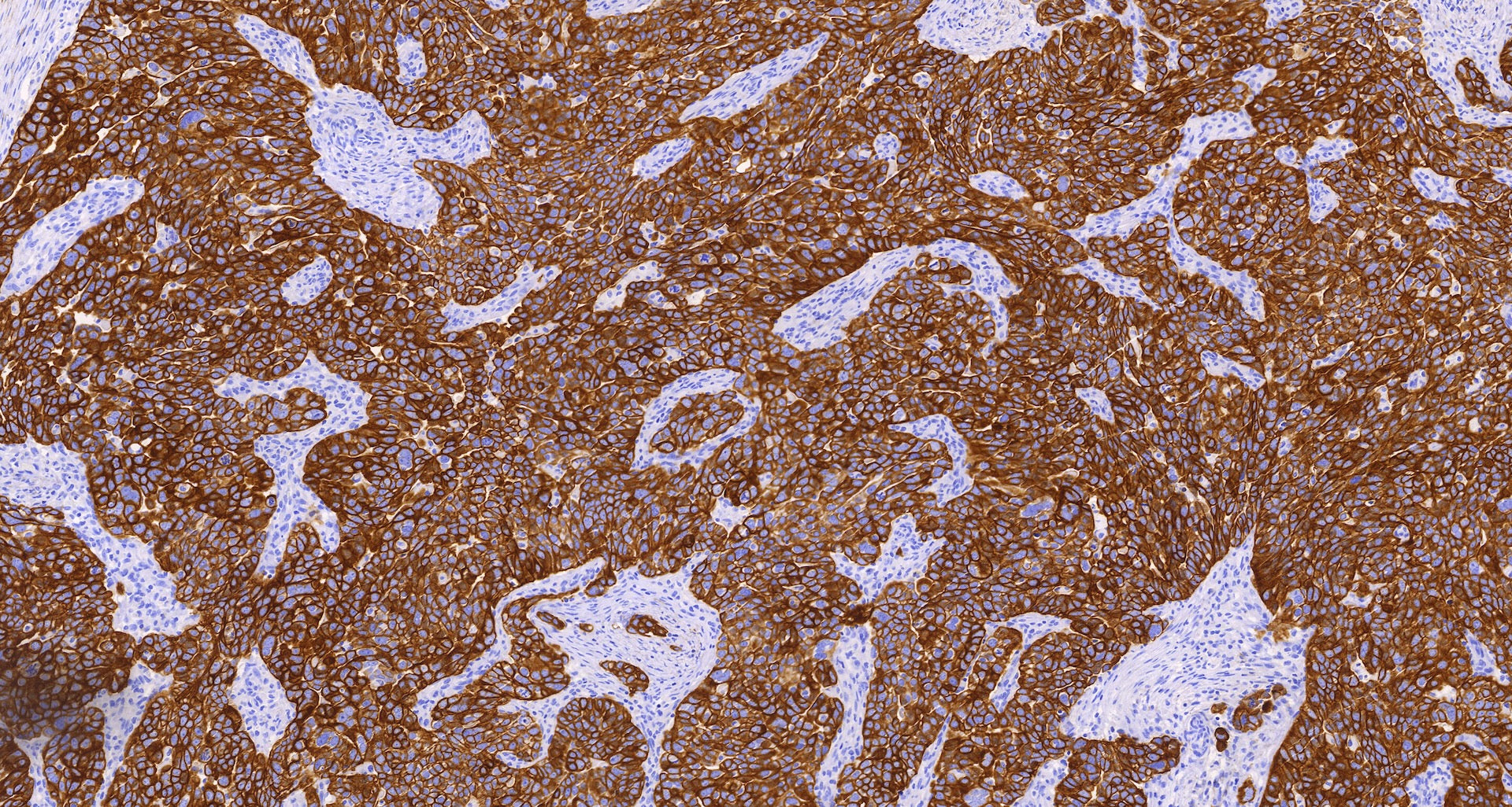
The cytokeratin 19 antibody reacts with various types of epithelium and epithelial malignancies. It can label adenocarcinomas in the colon, stomach, pancreas, biliary tract, liver, and breast. One particularly useful application of this antibody is the identification of papillary-type thyroid carcinoma, although follicular carcinoma is also labeled in approximately 50-60% of cases. Notably, hepatocytes do not express cytokeratin 19, making this antibody valuable in identifying liver metastases. In breast cancer, the degree of cytokeratin 19 positivity can help distinguish malignant tumors from benign ones. It is common for cytokeratin 19 to be coexpressed with cytokeratin 7.
Cytokeratin 19 (CK19)is classified as a Type I cytokeratin and is the CK19llest-known acidic cytokeratin. Unlike other members of its family, it does not pair with a basic cytokeratin in epithelial cells. Its specific localization is in the periderm, which is the superficial layer that temporarily covers the developing epidermis.
The cytokeratin 19 antibody reacts with various types of epithelium and epithelial malignancies. It can label adenocarcinomas in the colon, stomach, pancreas, biliary tract, liver, and breast. One particularly useful application of this antibody is the identification of papillary-type thyroid carcinoma, although follicular carcinoma is also labeled in approximately 50-60% of cases. Notably, hepatocytes do not express cytokeratin 19, making this antibody valuable in identifying liver metastases. In breast cancer, the degree of cytokeratin 19 positivity can help distinguish malignant tumors from benign ones. It is common for cytokeratin 19 to be coexpressed with cytokeratin 7.
Cytokeratin 19(C8G9), MMab
Translation missing: en.products.product.sku:cytokeratin-19(c8g9),-mmab-0.1ml
Couldn't load pickup availability
