

About
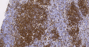
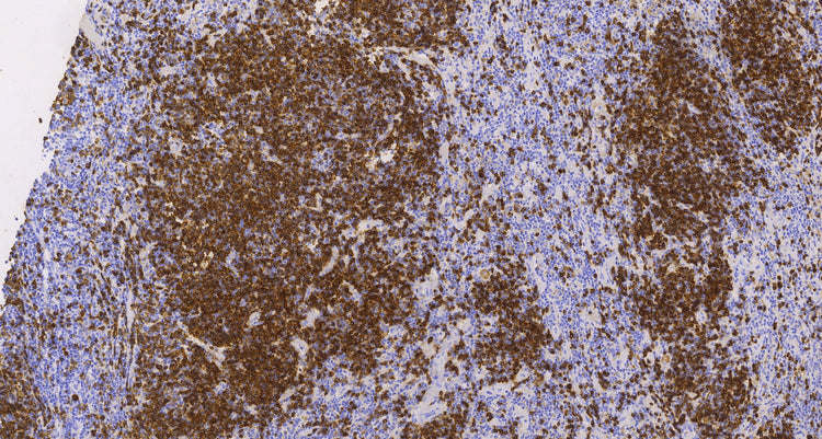
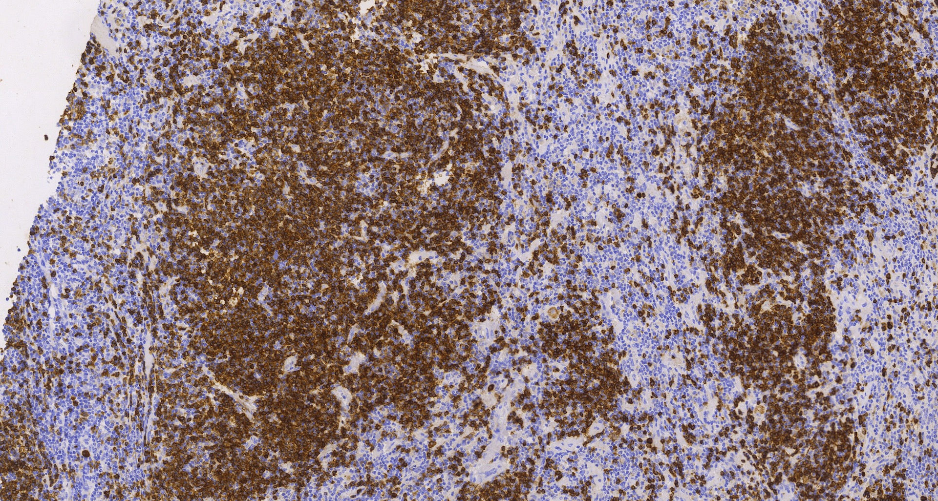
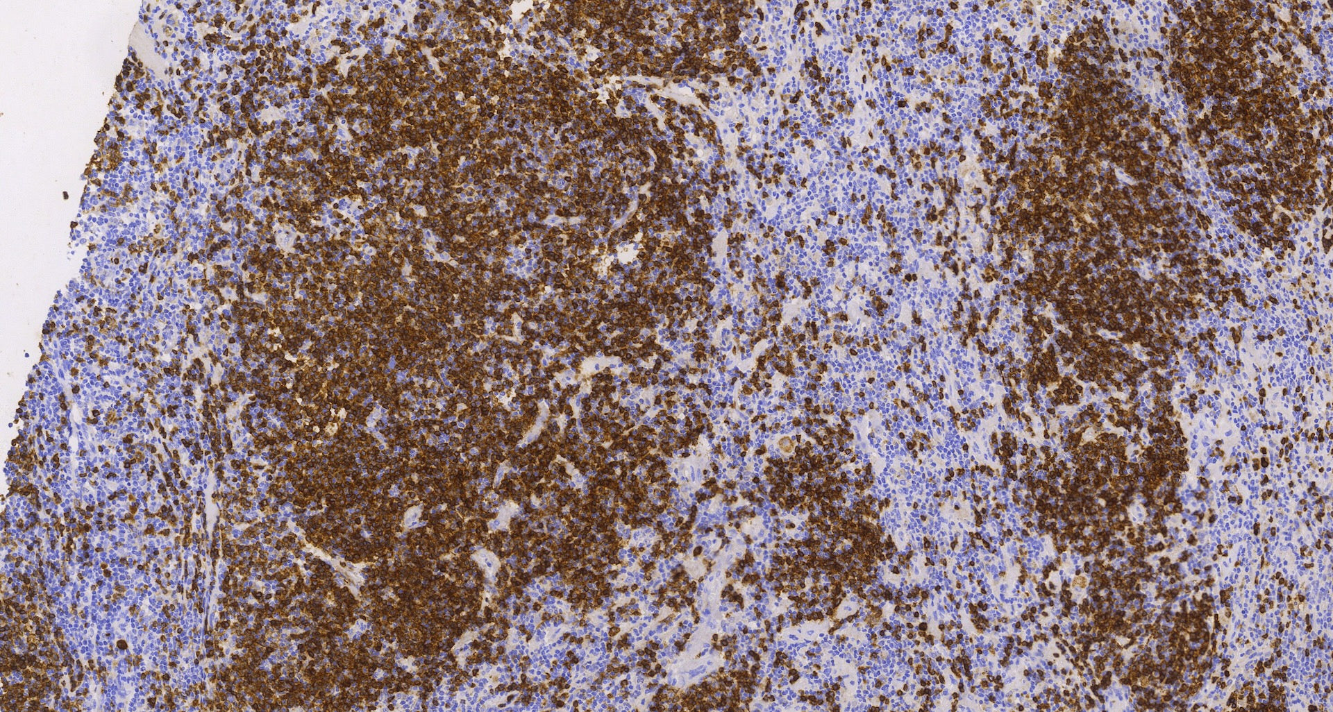
CD79a is non-covalently associated with membrane-bound
immunoglobulins on B-cells to constitute the B-cell Ag receptor. CD79a first appears at pre B-cell stage and persists until the plasma-cell stage, where it is found as an intracellular component. CD79a is found in the majority of Acute Leukemias of precursor B-cell type, in B-cell lines,
B-cell Lymphomas, and in some Myelomas.
CD79a is a B-cell marker that is generally used to complement CD20. This antibody will stain many of the same Lymphomas as CD20, but also stains more B-precursor Lymphoid Leukemias than CD20. CD79a also stains more cases of Plasma-cell Myeloma and occasionally some types of endothelial cells as well. CD79a will stain many cases of Acute
Promyelocytic Leukemia (FAB-M3), but only rarely stains other types of Myeloid Leukemia.
CD79a is non-covalently associated with membrane-bound
immunoglobulins on B-cells to constitute the B-cell Ag receptor. CD79a first appears at pre B-cell stage and persists until the plasma-cell stage, where it is found as an intracellular component. CD79a is found in the majority of Acute Leukemias of precursor B-cell type, in B-cell lines,
B-cell Lymphomas, and in some Myelomas.
CD79a is a B-cell marker that is generally used to complement CD20. This antibody will stain many of the same Lymphomas as CD20, but also stains more B-precursor Lymphoid Leukemias than CD20. CD79a also stains more cases of Plasma-cell Myeloma and occasionally some types of endothelial cells as well. CD79a will stain many cases of Acute
Promyelocytic Leukemia (FAB-M3), but only rarely stains other types of Myeloid Leukemia.
CD79a(C4C4), MMab
Translation missing: en.products.product.sku:cd79a(c4c4),-mmab-0.1ml
Couldn't load pickup availability
