

About
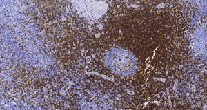
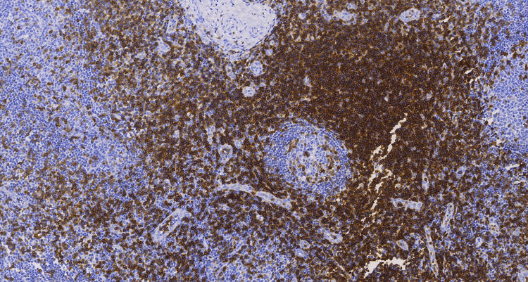
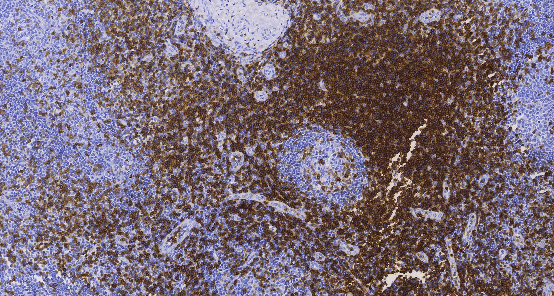
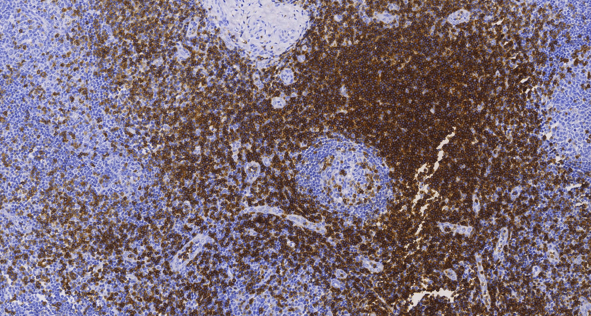
CD5 is a glycoprotein monomer with a molecular weight of 67 kDa and belongs to the scavenger receptor cysteine-rich (SRCR) family, which consists of extracellular domain-like structures. It possesses a large cytoplasmic domain that is suitable for signal transduction.
The CD5 antibody is commonly used as a T-cell marker, as it reacts with T-lymphocyte subsets. However, it is also known to react with a range of neoplastic B-cells, including B-cell Chronic Lymphocytic Leukemia (B-CLL), B-cell Small Lymphocytic Lymphoma (BSLL), and Mantle Cell Lymphoma. CD5 antibody expression is found in these B-cell malignancies and can aid in their identification and classification.
CD5 is a glycoprotein monomer with a molecular weight of 67 kDa and belongs to the scavenger receptor cysteine-rich (SRCR) family, which consists of extracellular domain-like structures. It possesses a large cytoplasmic domain that is suitable for signal transduction.
The CD5 antibody is commonly used as a T-cell marker, as it reacts with T-lymphocyte subsets. However, it is also known to react with a range of neoplastic B-cells, including B-cell Chronic Lymphocytic Leukemia (B-CLL), B-cell Small Lymphocytic Lymphoma (BSLL), and Mantle Cell Lymphoma. CD5 antibody expression is found in these B-cell malignancies and can aid in their identification and classification.
CD5(C6A10), MMab
Translation missing: en.products.product.sku:cd5(c6a10),-mmab-0.1ml
Couldn't load pickup availability
