

About
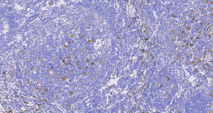
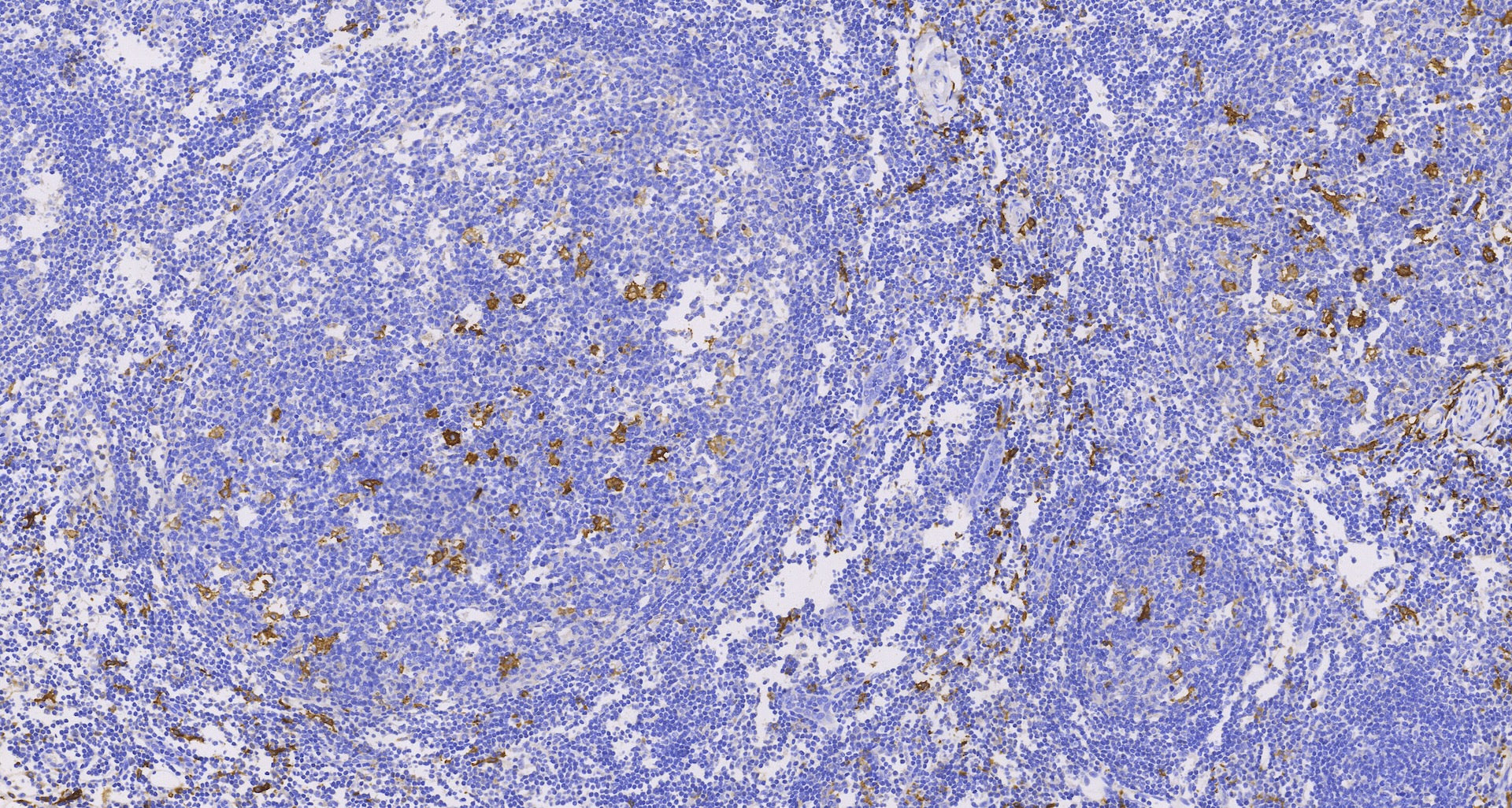
CD163 is a protein encoded by the CD163 gene in humans. It serves as a high-affinity scavenger receptor for the hemoglobin-haptoglobin complex. In the absence of haptoglobin, it can also bind to hemoglobin alone, albeit with lower affinity. CD163 is exclusively expressed on the cell surface of human monocytes and macrophages, particularly those that are involved in the late phase of inflammation. Therefore, it is a valuable marker for macrophage phenotyping.
Immunohistochemistry (IHC) using CD163 antibodies can detect CD163 positivity in histiocytes, gut cells, Kupffer cells, select alveolar macrophages, the main population of macrophages in the placenta, and varying degrees of macrophages in inflamed tissue, including tumor tissue, depending on the stage of inflammation.
CD163 positivity is observed in red-pulp macrophages (but not white-pulp macrophages) in the spleen and cortical macrophages in the thymus. In the context of rheumatoid arthritis, CD163 antibody has been found to be helpful in differentiating synovial macrophages from synovial intimal fibroblasts, demonstrating superior specificity for macrophages compared to CD68, which does not discriminate between these cell types.
CD163 antibody has also been implicated in the prognostic evaluation of tumor-infiltrating macrophages in classical Hodgkin lymphoma. Increased levels of CD163 have been detected in patients with microbial infections and myelomonocytic leukemias, and CD163 antibody expression has been shown to be limited to leukemias with monocytic differentiation. Recent studies have reported positive CD163 expression in all five cases of synovial-type giant cell tumors of the spinal column.
CD163 is a protein encoded by the CD163 gene in humans. It serves as a high-affinity scavenger receptor for the hemoglobin-haptoglobin complex. In the absence of haptoglobin, it can also bind to hemoglobin alone, albeit with lower affinity. CD163 is exclusively expressed on the cell surface of human monocytes and macrophages, particularly those that are involved in the late phase of inflammation. Therefore, it is a valuable marker for macrophage phenotyping.
Immunohistochemistry (IHC) using CD163 antibodies can detect CD163 positivity in histiocytes, gut cells, Kupffer cells, select alveolar macrophages, the main population of macrophages in the placenta, and varying degrees of macrophages in inflamed tissue, including tumor tissue, depending on the stage of inflammation.
CD163 positivity is observed in red-pulp macrophages (but not white-pulp macrophages) in the spleen and cortical macrophages in the thymus. In the context of rheumatoid arthritis, CD163 antibody has been found to be helpful in differentiating synovial macrophages from synovial intimal fibroblasts, demonstrating superior specificity for macrophages compared to CD68, which does not discriminate between these cell types.
CD163 antibody has also been implicated in the prognostic evaluation of tumor-infiltrating macrophages in classical Hodgkin lymphoma. Increased levels of CD163 have been detected in patients with microbial infections and myelomonocytic leukemias, and CD163 antibody expression has been shown to be limited to leukemias with monocytic differentiation. Recent studies have reported positive CD163 expression in all five cases of synovial-type giant cell tumors of the spinal column.
CD163(C2F5), MMab
Translation missing: en.products.product.sku:cd163(c2f5),-mmab-0.1ml
Couldn't load pickup availability
