

About
CD10, also known as neutral endopeptidase (NEP), neprilysin, and common acute lymphoblastic leukemia antigen (CALLA), is an enzyme belonging to the zinc-dependent metalloprotease family. It plays a role in the degradation of various small secreted peptides, including the amyloid beta peptide associated with Alzheimer's Disease.
The CD10 antibody is a valuable marker for the characterization of childhood leukemia and B-cell lymphomas. It reacts with antigens found in lymphoblastic, Burkitt's, and follicular lymphomas, as well as chronic myelocytic leukemia. Additionally, CD10 antibody detects the antigen present in glomerular epithelial cells and the brush border of the proximal tubules in the kidney. This characteristic can aid in the interpretation of renal development in conjunction with other markers.
Other non-lymphoid cells that show reactivity with CD10 include breast myoepithelial cells, bile canaliculi, neutrophils, a small population of bone marrow cells, fetal small intestine epithelium, and normal fibroblasts.
CD10, also known as neutral endopeptidase (NEP), neprilysin, and common acute lymphoblastic leukemia antigen (CALLA), is an enzyme belonging to the zinc-dependent metalloprotease family. It plays a role in the degradation of various small secreted peptides, including the amyloid beta peptide associated with Alzheimer's Disease.
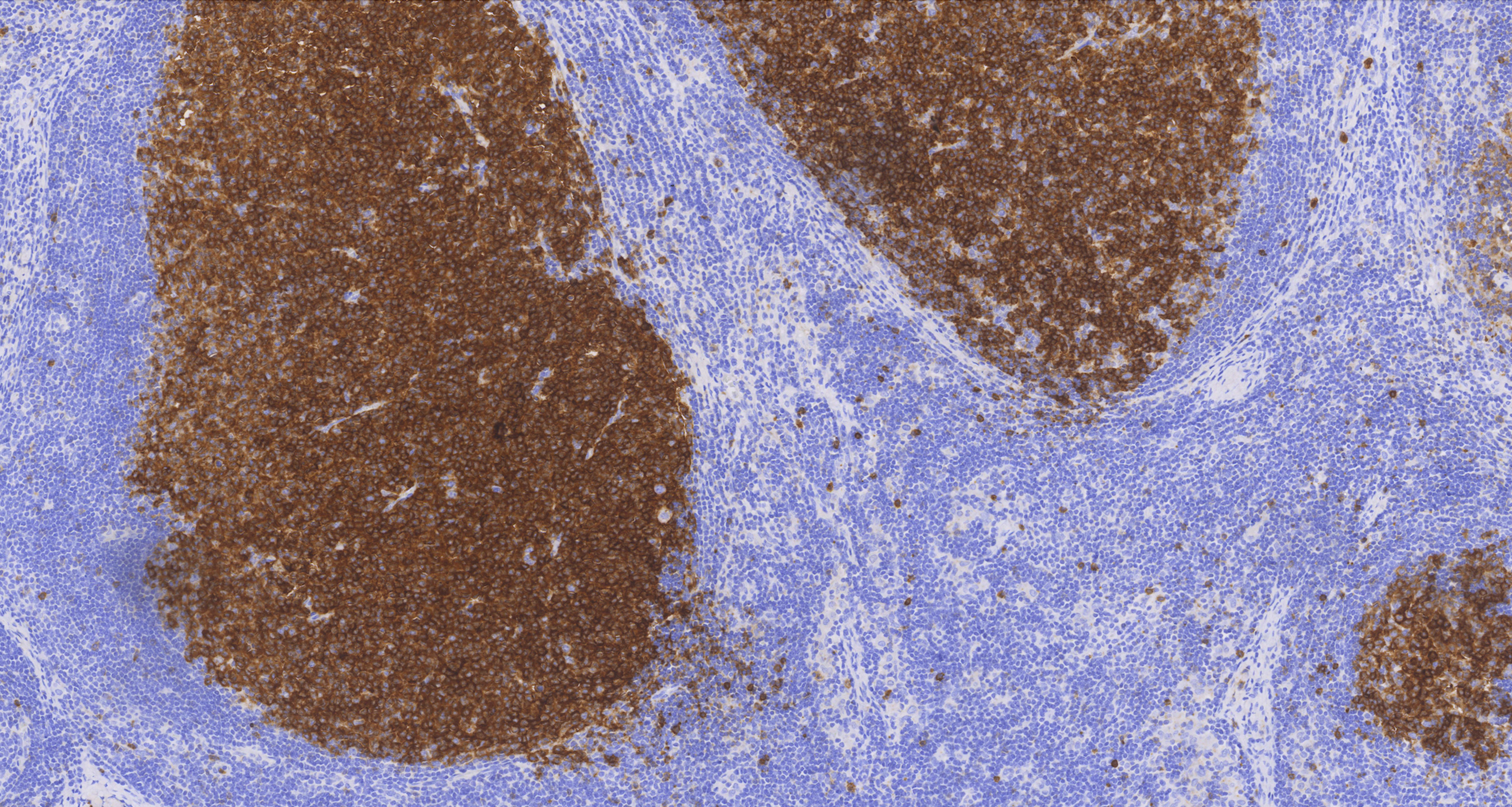
The CD10 antibody is a valuable marker for the characterization of childhood leukemia and B-cell lymphomas. It reacts with antigens found in lymphoblastic, Burkitt's, and follicular lymphomas, as well as chronic myelocytic leukemia. Additionally, CD10 antibody detects the antigen present in glomerular epithelial cells and the brush border of the proximal tubules in the kidney. This characteristic can aid in the interpretation of renal development in conjunction with other markers.
Other non-lymphoid cells that show reactivity with CD10 include breast myoepithelial cells, bile canaliculi, neutrophils, a small population of bone marrow cells, fetal small intestine epithelium, and normal fibroblasts.
CD10(C6D1), MMab
Translation missing: en.products.product.sku:cd10(c6d1),-mmab-0.1ml
Couldn't load pickup availability
