About
Descubra el kit de tinción con alto contenido de hierro diamino-azul alcián (HID-AB) se utiliza para distinguir entre mucinas ácidas sulfatadas y mucinas ácidas salivales. Este kit ha sido formulado por expertos con ingredientes de alta calidad para brindar resultados consistentes y confiables. Mejore su investigación con una solución de tinción confiable.
Principios
El diclorhidrato de N,N-dimetil-fenilendiamina y el diclorhidrato de N,N-dimetil-p-fenilendiamina son sales de amonio que tienen una carga positiva cuando se disocian. La sal de diamonio se combina con mucinas ácidas sulfatadas para formar un complejo, que se puede observar mediante un cambio de color. La reacción es lenta y se utiliza cloruro férrico como catalizador para acelerar la tinción. Por un lado, la oxidación de las dos sales de amonio forma un cromógeno catiónico de color marrón oscuro, que acelera la tinción. Por otro lado, el pH de la solución colorante disminuye a 1,4. A este valor de pH, sólo el grupo sulfato reacciona con la sal de diamonio para formar un complejo de
De color marrón púrpura a marrón negro, ya que el grupo carboxilo de la sección no puede combinarse con la sal de diamonio. Posteriormente, el azul de alicina (pH 2,5) tiñe el moco de ácido siálico carboxilado de azul, lo que permite mostrar el moco ácido de los dos grupos principales por separado.
Características
Alta especificidad
Fácil de operar
Fácil de identificar
Especificación
|
Reactivo |
Componente principal |
|
|
solución HID |
Dihidrocloruro de N,N-dimetil-fenilendiamina, Dihidrocloruro de N,N-dimetil-p-fenilendiamina |
|
|
Solución de cloruro férrico |
Cloruro férrico |
|
|
Solución de azul alcián |
azul alcián |
|
Nota: Cada componente de este producto no se puede usar por separado y los componentes de diferentes números de lote no se pueden usar indistintamente.
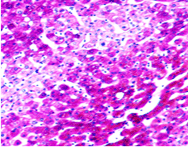
Interpretación de resultados
Después de la tinción, la presentación del color de las mucinas ácidas sulfatadas varía desde el marrón violáceo hasta el marrón negro. Las mucinas de los ácidos carboxilados aparecen de color azul. El núcleo celular permanece sin teñir.
10X
20X
Descubra el kit de tinción con alto contenido de hierro diamino-azul alcián (HID-AB) se utiliza para distinguir entre mucinas ácidas sulfatadas y mucinas ácidas salivales. Este kit ha sido formulado por expertos con ingredientes de alta calidad para brindar resultados consistentes y confiables. Mejore su investigación con una solución de tinción confiable.
Principios
El diclorhidrato de N,N-dimetil-fenilendiamina y el diclorhidrato de N,N-dimetil-p-fenilendiamina son sales de amonio que tienen una carga positiva cuando se disocian. La sal de diamonio se combina con mucinas ácidas sulfatadas para formar un complejo, que se puede observar mediante un cambio de color. La reacción es lenta y se utiliza cloruro férrico como catalizador para acelerar la tinción. Por un lado, la oxidación de las dos sales de amonio forma un cromógeno catiónico de color marrón oscuro, que acelera la tinción. Por otro lado, el pH de la solución colorante disminuye a 1,4. A este valor de pH, sólo el grupo sulfato reacciona con la sal de diamonio para formar un complejo de
De color marrón púrpura a marrón negro, ya que el grupo carboxilo de la sección no puede combinarse con la sal de diamonio. Posteriormente, el azul de alicina (pH 2,5) tiñe el moco de ácido siálico carboxilado de azul, lo que permite mostrar el moco ácido de los dos grupos principales por separado.
Características
Alta especificidad
Fácil de operar
Fácil de identificar
Especificación
|
Reactivo |
Componente principal |
|
|
solución HID |
Dihidrocloruro de N,N-dimetil-fenilendiamina, Dihidrocloruro de N,N-dimetil-p-fenilendiamina |
|
|
Solución de cloruro férrico |
Cloruro férrico |
|
|
Solución de azul alcián |
azul alcián |
|
Nota: Cada componente de este producto no se puede usar por separado y los componentes de diferentes números de lote no se pueden usar indistintamente.
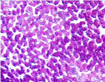
Interpretación de resultados
Después de la tinción, la presentación del color de las mucinas ácidas sulfatadas varía desde el marrón violáceo hasta el marrón negro. Las mucinas de los ácidos carboxilados aparecen de color azul. El núcleo celular permanece sin teñir.
10X
20X
Kit de tinción con alto contenido de hierro diamina-azul alcián (HID-AB)
Translation missing: es.products.product.sku:
No se pudo cargar la disponibilidad de retiro

