

Acerca de
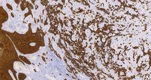
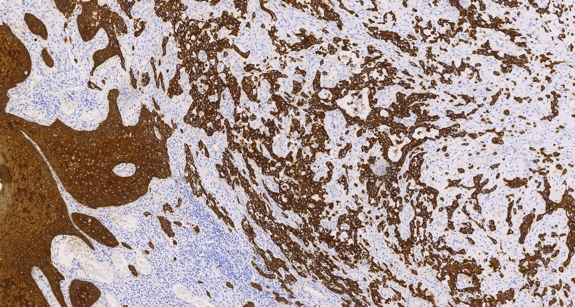
La citoqueratina 5 (58 kDa) es un tipo básico de citoqueratina de alto peso molecular que se expresa en varias capas de epitelios estratificados, incluidas las capas de células basales, intermedias y superficiales. También se encuentra en epitelios de transición, epitelios complejos, células mesoteliales y mesotelioma. Por otro lado, la citoqueratina 6 (56 kDa) es otra citoqueratina de tipo básico de alto peso molecular que a menudo se expresa en el epitelio escamoso proliferante y frecuentemente se coexpresa con la citoqueratina 16.
El anticuerpo Cytokeratin 5 & 6 se puede utilizar para detectar la presencia de estas proteínas. Es altamente positivo en casi el 100% de los mesoteliomas malignos, un tipo de cáncer que se origina en las células mesoteliales que recubren la pleura, el peritoneo o el pericardio. Sin embargo, rara vez se observa en adenocarcinomas de pulmón. El anticuerpo también puede ser positivo en carcinomas de células grandes indiferenciados y carcinomas escamosos. Por el contrario, menos del 10% de los carcinomas de mama, colon y próstata muestran positividad para este marcador.
Además, el anticuerpo citoqueratina 5 y 6 se ha empleado con éxito como marcador de células mioepiteliales en la próstata para determinar la malignidad. Las células mioepiteliales son células especializadas que rodean a las células epiteliales en varios tejidos, incluida la glándula prostática.
La citoqueratina 5 (58 kDa) es un tipo básico de citoqueratina de alto peso molecular que se expresa en varias capas de epitelios estratificados, incluidas las capas de células basales, intermedias y superficiales. También se encuentra en epitelios de transición, epitelios complejos, células mesoteliales y mesotelioma. Por otro lado, la citoqueratina 6 (56 kDa) es otra citoqueratina de tipo básico de alto peso molecular que a menudo se expresa en el epitelio escamoso proliferante y frecuentemente se coexpresa con la citoqueratina 16.
El anticuerpo Cytokeratin 5 & 6 se puede utilizar para detectar la presencia de estas proteínas. Es altamente positivo en casi el 100% de los mesoteliomas malignos, un tipo de cáncer que se origina en las células mesoteliales que recubren la pleura, el peritoneo o el pericardio. Sin embargo, rara vez se observa en adenocarcinomas de pulmón. El anticuerpo también puede ser positivo en carcinomas de células grandes indiferenciados y carcinomas escamosos. Por el contrario, menos del 10% de los carcinomas de mama, colon y próstata muestran positividad para este marcador.
Además, el anticuerpo citoqueratina 5 y 6 se ha empleado con éxito como marcador de células mioepiteliales en la próstata para determinar la malignidad. Las células mioepiteliales son células especializadas que rodean a las células epiteliales en varios tejidos, incluida la glándula prostática.
Citoqueratina 5 y 6 (C6H1/C1C8), MMab
Translation missing: es.products.product.sku:cytokeratin-5-&-6(c6h1/c1c8),-mmab-0.1ml
No se pudo cargar la disponibilidad de retiro
