

Acerca de
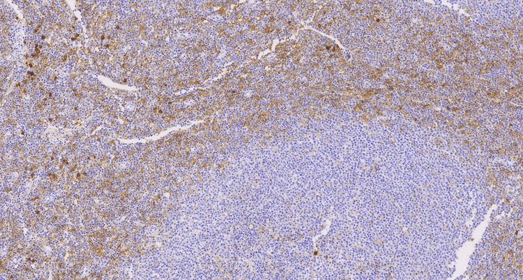
CD38 es una glicoproteína que está presente en la superficie de varias células inmunitarias, incluidas CD4+, CD8+, células B y células asesinas naturales. Sirve como marcador de activación celular. La proteína CD38 se ha asociado con varias afecciones y procesos como la infección por VIH, leucemias, mielomas, tumores sólidos, diabetes mellitus tipo II, metabolismo óseo y ciertas afecciones determinadas genéticamente. También se ha utilizado como marcador pronóstico en leucemia.
CD38 se expresa altamente en los timocitos y también se encuentra en las células tempranas de los linajes B y T, células asesinas naturales, células plasmáticas, monocitos y macrófagos. Se puede detectar en células de mieloma múltiple, leucemia linfoblástica aguda (células B y T) y algunas formas de leucemia mieloide aguda.
El anticuerpo CD38 tiene varias aplicaciones, incluida la subtipificación de linfomas y leucemias, la inhibición de la linfopoyesis B, la detección de células plasmáticas, la protección de las células B contra la apoptosis y como marcador de la proliferación de células B y T activadas.
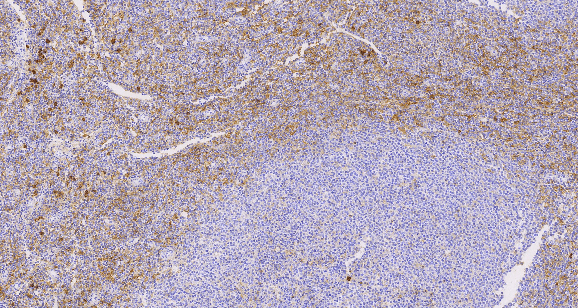
CD38 es una glicoproteína que está presente en la superficie de varias células inmunitarias, incluidas CD4+, CD8+, células B y células asesinas naturales. Sirve como marcador de activación celular. La proteína CD38 se ha asociado con varias afecciones y procesos como la infección por VIH, leucemias, mielomas, tumores sólidos, diabetes mellitus tipo II, metabolismo óseo y ciertas afecciones determinadas genéticamente. También se ha utilizado como marcador pronóstico en leucemia.
CD38 se expresa altamente en los timocitos y también se encuentra en las células tempranas de los linajes B y T, células asesinas naturales, células plasmáticas, monocitos y macrófagos. Se puede detectar en células de mieloma múltiple, leucemia linfoblástica aguda (células B y T) y algunas formas de leucemia mieloide aguda.
El anticuerpo CD38 tiene varias aplicaciones, incluida la subtipificación de linfomas y leucemias, la inhibición de la linfopoyesis B, la detección de células plasmáticas, la protección de las células B contra la apoptosis y como marcador de la proliferación de células B y T activadas.
CD38(C3G3), MMab
Translation missing: es.products.product.sku:cd38(c3g3),-mmab-0.1ml
No se pudo cargar la disponibilidad de retiro
