

Acerca de
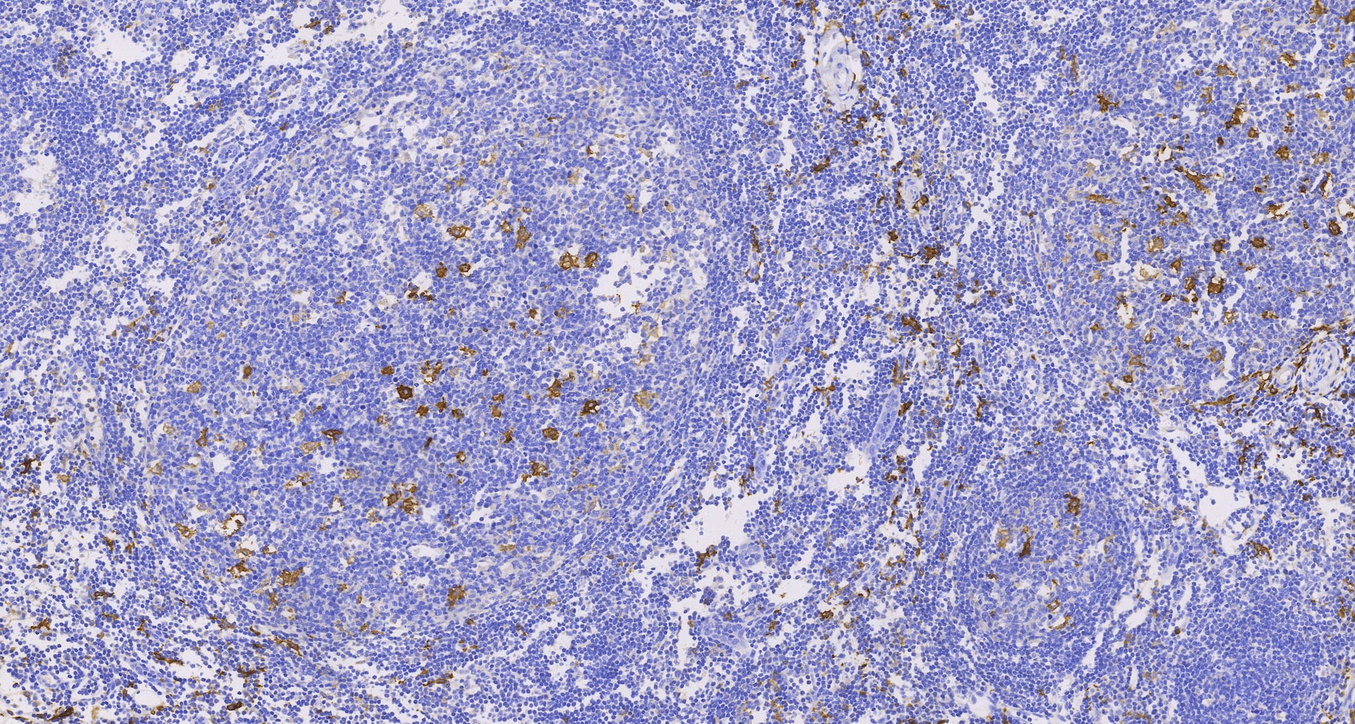
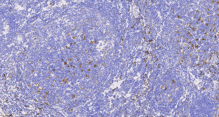
CD163 es una proteína codificada por el gen CD163 en humanos. Sirve como receptor eliminador de alta afinidad del complejo hemoglobina-haptoglobina. En ausencia de haptoglobina, también puede unirse únicamente a la hemoglobina, aunque con menor afinidad. CD163 se expresa exclusivamente en la superficie celular de monocitos y macrófagos humanos, particularmente aquellos que participan en la fase tardía de la inflamación. Por tanto, es un marcador valioso para el fenotipado de macrófagos.
La inmunohistoquímica (IHC) que utiliza anticuerpos CD163 puede detectar la positividad de CD163 en histiocitos, células intestinales, células de Kupffer, macrófagos alveolares seleccionados, la principal población de macrófagos en la placenta y diversos grados de macrófagos en tejido inflamado, incluido el tejido tumoral, según el estadio. de inflamación.
La positividad de CD163 se observa en macrófagos de pulpa roja (pero no en macrófagos de pulpa blanca) en el bazo y macrófagos corticales en el timo. En el contexto de la artritis reumatoide, se ha descubierto que el anticuerpo CD163 es útil para diferenciar los macrófagos sinoviales de los fibroblastos de la íntima sinovial, lo que demuestra una especificidad superior para los macrófagos en comparación con el CD68, que no discrimina entre estos tipos de células.
El anticuerpo CD163 también se ha implicado en la evaluación pronóstica de macrófagos infiltrantes de tumores en el linfoma de Hodgkin clásico. Se han detectado niveles elevados de CD163 en pacientes con infecciones microbianas y leucemias mielomonocíticas, y se ha demostrado que la expresión del anticuerpo CD163 se limita a leucemias con diferenciación monocítica. Estudios recientes han informado de una expresión positiva de CD163 en los cinco casos de tumores de células gigantes de tipo sinovial de la columna vertebral.
CD163 es una proteína codificada por el gen CD163 en humanos. Sirve como receptor eliminador de alta afinidad del complejo hemoglobina-haptoglobina. En ausencia de haptoglobina, también puede unirse únicamente a la hemoglobina, aunque con menor afinidad. CD163 se expresa exclusivamente en la superficie celular de monocitos y macrófagos humanos, particularmente aquellos que participan en la fase tardía de la inflamación. Por tanto, es un marcador valioso para el fenotipado de macrófagos.
La inmunohistoquímica (IHC) que utiliza anticuerpos CD163 puede detectar la positividad de CD163 en histiocitos, células intestinales, células de Kupffer, macrófagos alveolares seleccionados, la principal población de macrófagos en la placenta y diversos grados de macrófagos en tejido inflamado, incluido el tejido tumoral, según el estadio. de inflamación.
La positividad de CD163 se observa en macrófagos de pulpa roja (pero no en macrófagos de pulpa blanca) en el bazo y macrófagos corticales en el timo. En el contexto de la artritis reumatoide, se ha descubierto que el anticuerpo CD163 es útil para diferenciar los macrófagos sinoviales de los fibroblastos de la íntima sinovial, lo que demuestra una especificidad superior para los macrófagos en comparación con el CD68, que no discrimina entre estos tipos de células.
El anticuerpo CD163 también se ha implicado en la evaluación pronóstica de macrófagos infiltrantes de tumores en el linfoma de Hodgkin clásico. Se han detectado niveles elevados de CD163 en pacientes con infecciones microbianas y leucemias mielomonocíticas, y se ha demostrado que la expresión del anticuerpo CD163 se limita a leucemias con diferenciación monocítica. Estudios recientes han informado de una expresión positiva de CD163 en los cinco casos de tumores de células gigantes de tipo sinovial de la columna vertebral.
CD163(C2F5), MMab
Translation missing: es.products.product.sku:cd163(c2f5),-mmab-0.1ml
No se pudo cargar la disponibilidad de retiro
