

Acerca de
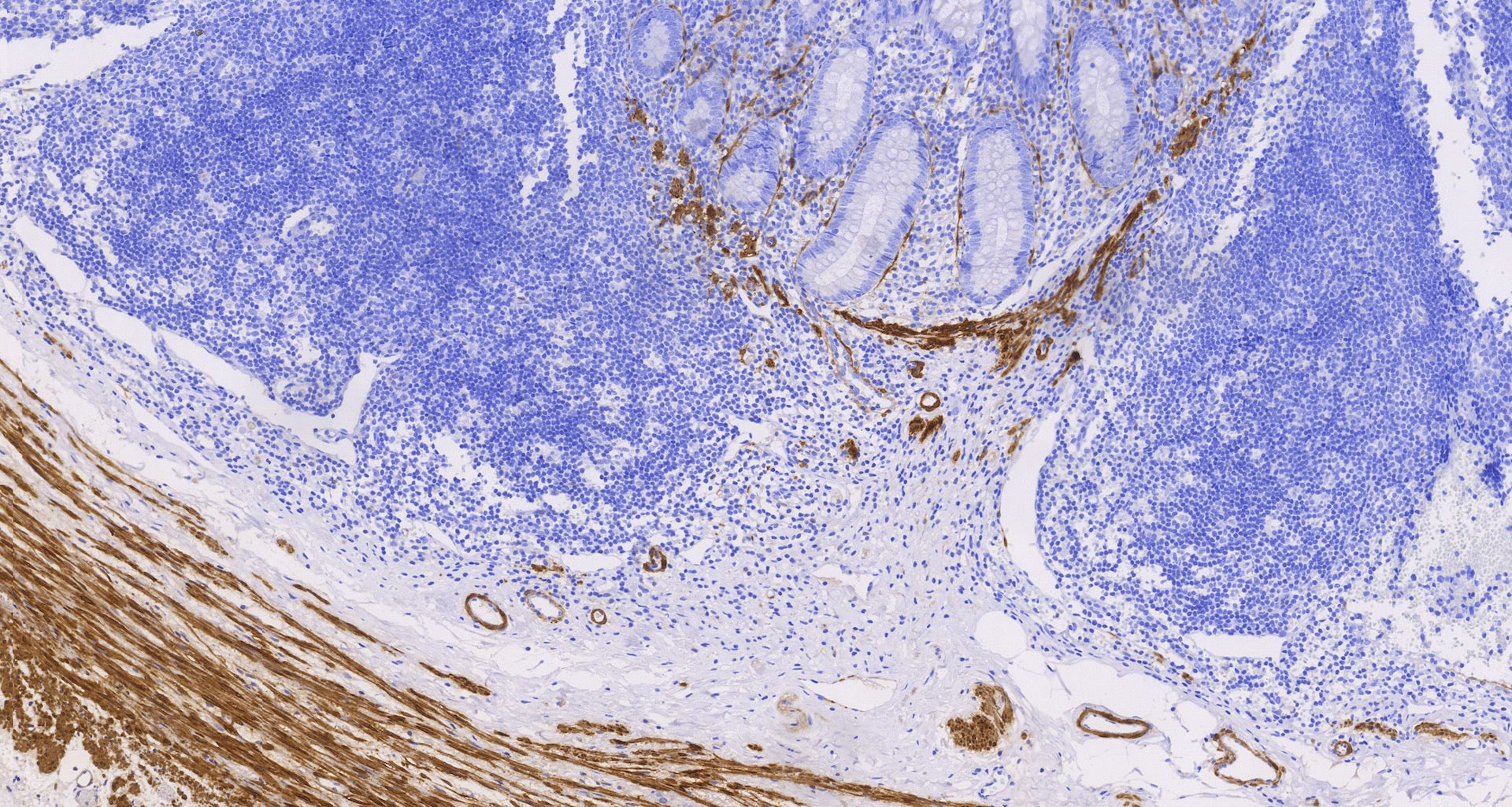
La calponina es un polipéptido con un peso molecular de 34 kDa que interactúa con actina, tropomiosina y calmodulina. Se encuentra principalmente en el tejido del músculo liso y participa en los mecanismos de contracción del músculo liso. La calponina es una proteína fijadora de calcio y su función principal es inhibir tónicamente la actividad ATPasa de la miosina en el músculo liso. Cuando la calponina es fosforilada por una proteína quinasa, que depende de la unión del calcio a la calmodulina, se libera la inhibición de la ATPasa del músculo liso por la calponina.
El anticuerpo calponina ha demostrado ser útil para distinguir las lesiones esclerosantes benignas de la mama del carcinoma. También se ha observado que es positivo en mioepitelioma maligno y adenoma pleomórfico de origen de glándulas salivales, así como en histiocitoma fibroso maligno angiomatoide.
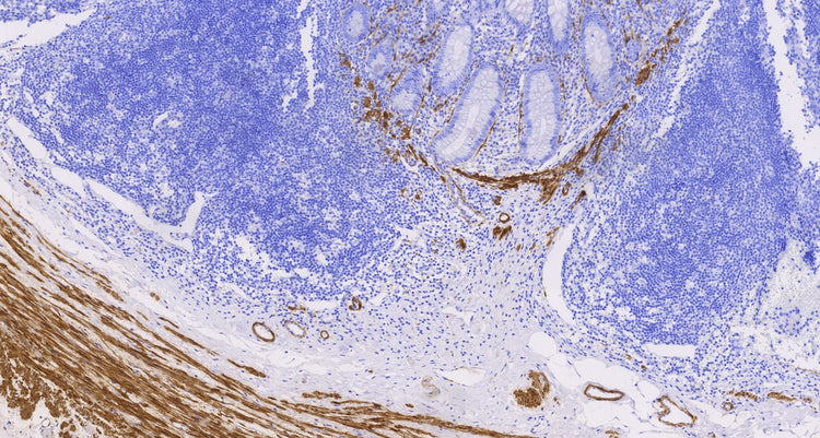
La calponina es un polipéptido con un peso molecular de 34 kDa que interactúa con actina, tropomiosina y calmodulina. Se encuentra principalmente en el tejido del músculo liso y participa en los mecanismos de contracción del músculo liso. La calponina es una proteína fijadora de calcio y su función principal es inhibir tónicamente la actividad ATPasa de la miosina en el músculo liso. Cuando la calponina es fosforilada por una proteína quinasa, que depende de la unión del calcio a la calmodulina, se libera la inhibición de la ATPasa del músculo liso por la calponina.
El anticuerpo calponina ha demostrado ser útil para distinguir las lesiones esclerosantes benignas de la mama del carcinoma. También se ha observado que es positivo en mioepitelioma maligno y adenoma pleomórfico de origen de glándulas salivales, así como en histiocitoma fibroso maligno angiomatoide.
Calponina (C6A12), MMab
Translation missing: es.products.product.sku:calponin(c6a12),-mmab-0.1ml
No se pudo cargar la disponibilidad de retiro
